[Ortho] Трехгранная кость ?

Эльдар Шамадаев orthoforum на weborto.net
Пт Дек 4 08:27:29 YEKT 2015


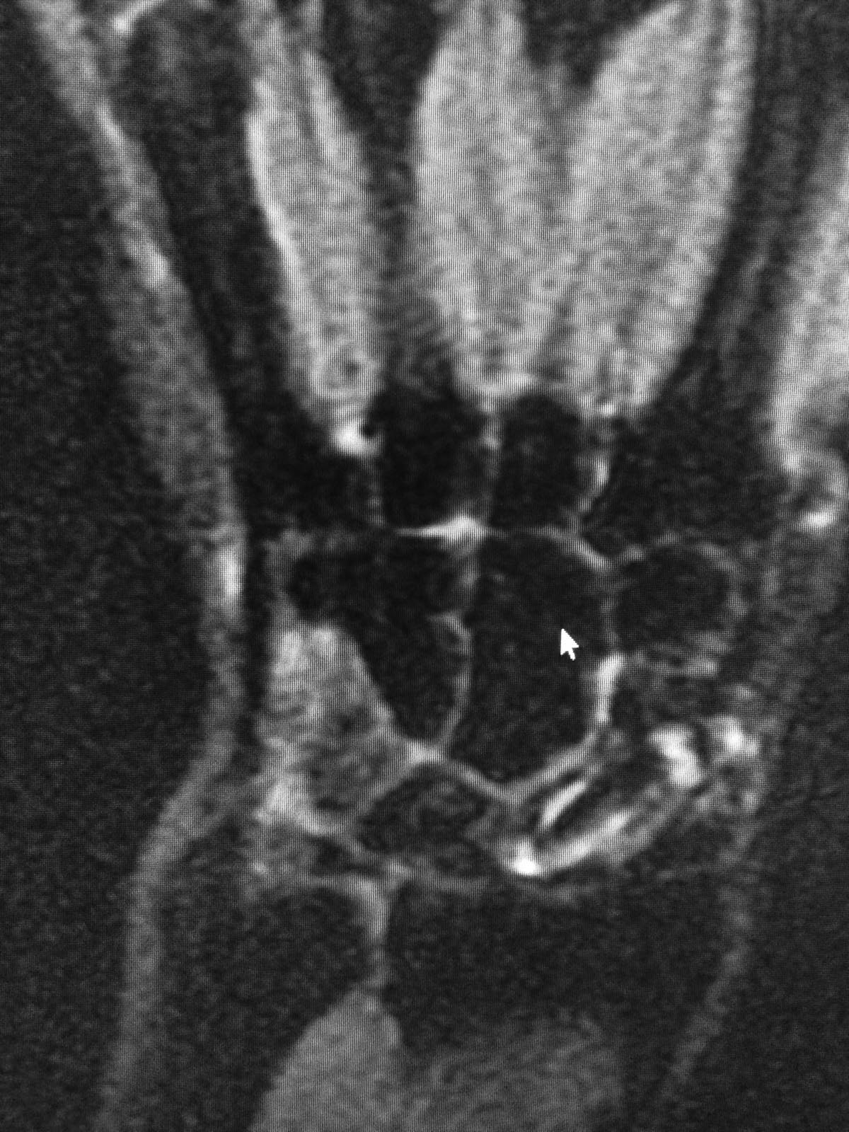
Здравствуйте. Мужчина 30 лет. Травма около 5ти лет назад, МОС винтом, в 
данное время в проекции ладьевидной кости болей нет, осевая нагрузка на 
1ю пястную кость безболезненная, боли беспокоят при пальпации в проекции 
трехгранной кости и движениях в лучезапястном суставе (при пассивных и 
активных движениях возникают острые боли, так же в проекции
трехгранной кости). На МРТ отмечаются проблемы в этой зоне. Со слов 
пациента, при периодических болях принимает таблетку найза, после чего 
все проходит.
Эльдар Шамадаев


----------- следущая часть -----------
Вложение не в текстовом формате было извлечено…
Имя     : IMG_0050.JPG
Тип     : image/jpeg
Размер  : 232710 байтов
Описание: отсутствует
Url     : http://weborto.net:8080/pipermail/ortho/attachments/20151204/d766c537/attachment-0007.jpeg 
----------- следущая часть -----------
Вложение не в текстовом формате было извлечено…
Имя     : IMG_0051.JPG
Тип     : image/jpeg
Размер  : 313907 байтов
Описание: отсутствует
Url     : http://weborto.net:8080/pipermail/ortho/attachments/20151204/d766c537/attachment-0008.jpeg 
----------- следущая часть -----------
Вложение не в текстовом формате было извлечено…
Имя     : IMG_0052.JPG
Тип     : image/jpeg
Размер  : 299142 байтов
Описание: отсутствует
Url     : http://weborto.net:8080/pipermail/ortho/attachments/20151204/d766c537/attachment-0009.jpeg 
----------- следущая часть -----------
Вложение не в текстовом формате было извлечено…
Имя     : IMG_0053.JPG
Тип     : image/jpeg
Размер  : 65334 байтов
Описание: отсутствует
Url     : http://weborto.net:8080/pipermail/ortho/attachments/20151204/d766c537/attachment-0010.jpeg 
----------- следущая часть -----------
Вложение не в текстовом формате было извлечено…
Имя     : IMG_5648.JPG
Тип     : image/jpeg
Размер  : 162902 байтов
Описание: отсутствует
Url     : http://weborto.net:8080/pipermail/ortho/attachments/20151204/d766c537/attachment-0011.jpeg 
----------- следущая часть -----------
Вложение не в текстовом формате было извлечено…
Имя     : IMG_5649.JPG
Тип     : image/jpeg
Размер  : 109006 байтов
Описание: отсутствует
Url     : http://weborto.net:8080/pipermail/ortho/attachments/20151204/d766c537/attachment-0012.jpeg 
----------- следущая часть -----------
Вложение не в текстовом формате было извлечено…
Имя     : IMG_5651.JPG
Тип     : image/jpeg
Размер  : 82074 байтов
Описание: отсутствует
Url     : http://weborto.net:8080/pipermail/ortho/attachments/20151204/d766c537/attachment-0013.jpeg 
----------- следущая часть -----------
Вложение не в текстовом формате было извлечено…
Имя     : IMG_5652.JPG
Тип     : image/jpeg
Размер  : 134329 байтов
Описание: отсутствует
Url     : http://weborto.net:8080/pipermail/ortho/attachments/20151204/d766c537/attachment-0014.jpeg 


Подробная информация о списке рассылки Ortho