[Ortho] , .

orthoforum weborto.net
9 19:22:47 YEKT 2015


Добрый вечер Уважаемые коллег. Вашему вниманию для обсуждения, 
предсатвляю данный клинический случай. ИНтерисуют ваши варианты 
оперативного лечения, применительно для конкретного пациента.	
		
Коротко о пациенте: Возраст 60 лет, мужчина. Со слов травма в 2006 
года-ДТП (сбит автомашиной) - в январе 2007 г. выполнено БИОС левого 
бедра , затем по неизвестным причинам в 2008 году реостеосинтез левого 
бедра штифтом ( снимков нет). Оперирован в одном из городов Сибири. 
Передвигался с тростью, с июля 2014 г. был вынужден встать на костыли в 
связи с усилением болей в области левого коленного сустава, левого 
бедра. В декабре 2014 г. боли в левом бедре усилились, появилась 
поталогическая подвижность.Сопутствующие заболевания:
- инфаркт миокарда нижней стенки в 2006г; КАГ со стентированием 
(2стента); повторная КАГ в 2012г (стеноз коронарных артерий); 
приобретенный порок выявлен после ИМ – сочетанный порок АК 
(стеноз+недостаточность);
- сахарный диабет 2типа
- кишечное кровотечение отмечает с 2013г; с-r средне-ампулярного отдела 
прямой кишки 2А Т3N0M0. стадии выявлен в 10.2014г; низкая передняя 
резекция прямой кишки, илеостомия 05.11.14г (гистология –
высокодифференцированная аденокарцинома); ушивание эвентрации
- инвалид 3группы по заболеванию
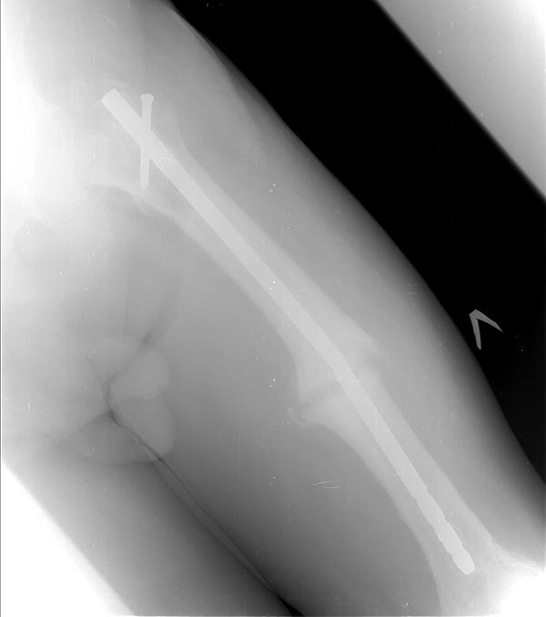
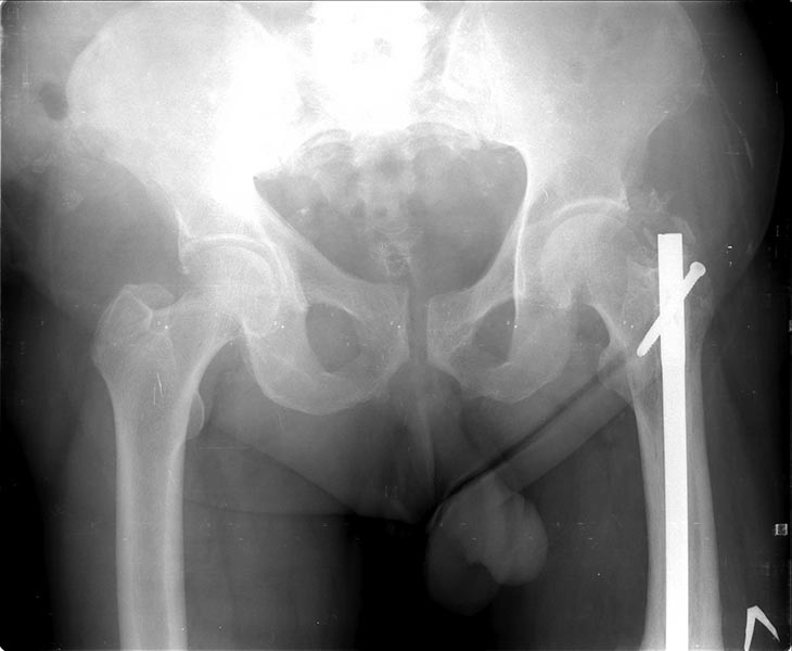
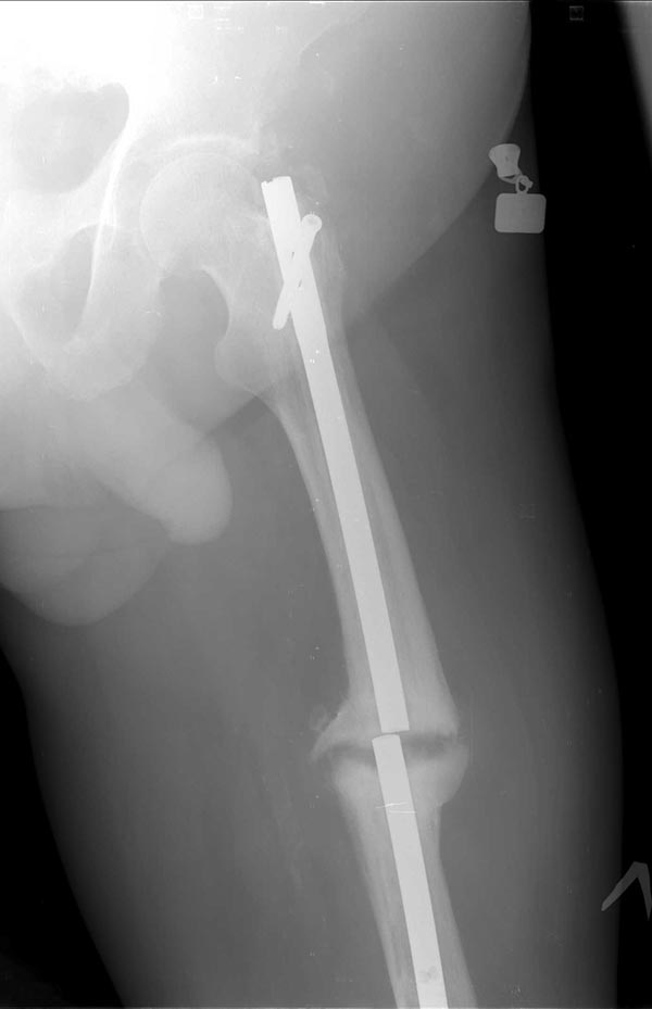
На снимках( это снимки январь 2015г), которые выложил, определяется 
гипертрофический ложный сустав с/3 бедренной кости, перелом штифта на 
уровне перелома, штифт канюлированный.Состояние больного 
удовлетворительное, по анализам компенсирован.

В нашем учреждении учитывая все вышеизложенное, принята следующая 
тактика: Открытое удаление фрагментов штифта, выполнение 
костно-поднадкостничной декортикации на уровне псевдоартроза и 
выполнение реостеосинтеза штифтом ЦИТО.
(Из штифтов имеем: Остеомед max-12мм, канюлированый Sanatmetal-11мм, и 
ЦИТО разных размером, так же есть пластины и и аппарат)

Интерисуют иные мнения ( если такие имеются) вариантов оперативного 
лечения. Какой на Ваш взгляд, оптимальный вариант оперативного лечения 
применить для этого больного.

Заранее спасибо.
С ув.Андрей


С ув.Андрей


-----------   -----------
Вложение не в текстовом формате было извлечено…
Имя     : Dzyuba^V.^A.00000.jpg
Тип     : image/jpeg
Размер  : 52294 байтов
Описание: отсутствует
Url     : http://weborto.net:8080/pipermail/ortho/attachments/20150209/f0d5b600/attachment-0003.jpg 
-----------   -----------
Вложение не в текстовом формате было извлечено…
Имя     : Dzyuba^V.^A.00001.jpg
Тип     : image/jpeg
Размер  : 31352 байтов
Описание: отсутствует
Url     : http://weborto.net:8080/pipermail/ortho/attachments/20150209/f0d5b600/attachment-0004.jpg 
-----------   -----------
Вложение не в текстовом формате было извлечено…
Имя     : Dzyuba^V.^A.00002.jpg
Тип     : image/jpeg
Размер  : 41639 байтов
Описание: отсутствует
Url     : http://weborto.net:8080/pipermail/ortho/attachments/20150209/f0d5b600/attachment-0005.jpg 


Ortho