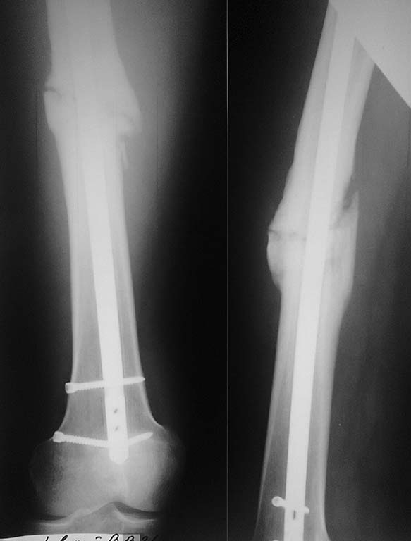
[Ortho] Удаление погнувшегося винта

Михаил orthoforum на weborto.net
Ср Фев 18 18:21:45 YEKT 2015


Год.Собираемся рассверлить и реостеосинтезировать.
Михаил

----------- следущая часть -----------
Вложение не в текстовом формате было извлечено…
Имя     : жПФП0261.jpg
Тип     : image/jpeg
Размер  : 40387 байтов
Описание: отсутствует
Url     : http://weborto.net:8080/pipermail/ortho/attachments/20150218/f38d660f/attachment-0001.jpg 


Подробная информация о списке рассылки Ortho