[Ortho] Удаление погнувшегося винта

Михаил orthoforum на weborto.net
Чт Фев 19 10:09:57 YEKT 2015


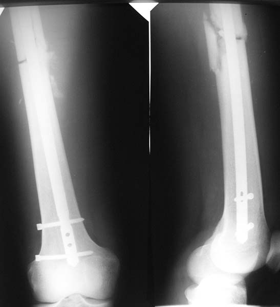
Хотели установить максимально толстый штифт и блокировать динамически. 
Послеоперационные снимки прилагаются.
Михаил

----------- следущая часть -----------
Вложение не в текстовом формате было извлечено…
Имя     : DSCN5163.JPG
Тип     : image/jpeg
Размер  : 40393 байтов
Описание: отсутствует
Url     : http://weborto.net:8080/pipermail/ortho/attachments/20150219/52abe24e/attachment-0001.jpeg 


Подробная информация о списке рассылки Ortho