[Ortho] Необходимо ли срочно делать реостеосинтез?

Михаил orthoforum на weborto.net
Вс Фев 22 16:25:51 YEKT 2015


Доброго времени суток, уважаемые коллеги!	
		
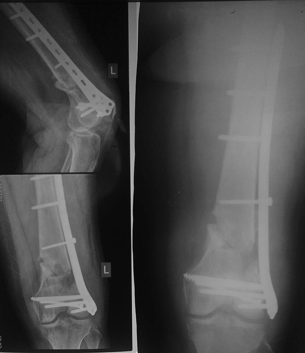
Представляю пациентку Д., 57 лет.Пострадала в ДТП в августе 2014 
г.Диагноз:Открытый оскольчатый внутрисуставной перелом дистального 
метаэпифиза левой бедренной кости со смещением отломков. Рваные раны и 
ссадины левых бедра и голени. Закрытый перелом V ребра слева без 
смещения отломков. Травматический шок I ст(снимок 1).

Операция 16.09.14.-Открытая репозиция мыщелков бедренной кости, 
остеосинтез винтом, закрытая аппаратная репозиция, малоинвазивный 
остеосинтез бедренной кости опорной мыщелковой пластиной на винтах с 
угловой стабильностью с контролем под С-дугой(снимок 2).

После операции были даны рекомендации заниматься ЛФК для суставов, 
нагрузка не ранее, чем через 2,5 мес. Пропала из поля зрения (лечилась в 
поликлинике по месту жительства в другом районе области).

Сегодня пришла на консультацию (снимок 3). С ее слов: в своей 
поликлинике ей запрещают до сих пор нагрузку, аргументируя несращением.

Самостоятельно была на консультации в институте травматологии и 
ортопедии в областном центре, где ей предложили выполнить реостеосинтез 
с костной пластикой. Стоит ли торопиться с оперативным лечением или дать 
походить с возрастающей нагрузкой- возможно произойдет полная 
консолидация? Спасибо всем откликнувшимся!
Михаил


----------- следущая часть -----------
Вложение не в текстовом формате было извлечено…
Имя     : 2015-02-22_152605-1.jpg
Тип     : image/jpeg
Размер  : 100059 байтов
Описание: отсутствует
Url     : http://weborto.net:8080/pipermail/ortho/attachments/20150222/8370b6b4/attachment-0003.jpg 
----------- следущая часть -----------
Вложение не в текстовом формате было извлечено…
Имя     : 2015-02-22_152605-2.jpg
Тип     : image/jpeg
Размер  : 57368 байтов
Описание: отсутствует
Url     : http://weborto.net:8080/pipermail/ortho/attachments/20150222/8370b6b4/attachment-0004.jpg 
----------- следущая часть -----------
Вложение не в текстовом формате было извлечено…
Имя     : 2015-02-22_152605-3.jpg
Тип     : image/jpeg
Размер  : 77231 байтов
Описание: отсутствует
Url     : http://weborto.net:8080/pipermail/ortho/attachments/20150222/8370b6b4/attachment-0005.jpg 


Подробная информация о списке рассылки Ortho