[Ortho] Pipkin IV. Остеосинтез или эндопротезирование?

Nikita Zadneprovsky orthoforum на weborto.net
Ср Янв 7 00:39:18 YEKT 2015


Уважаемые коллеги! Всех с наступившим 2015 годом, всем здоровья и 
мирного неба над головой!

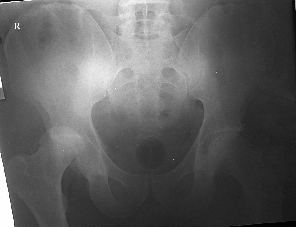
Мужчина, 46 лет, пострадал в результате ДТП (водитель). Удар пришелся 
через согнутое правое колено об приборную панель, что привело к заднему 
вывиху головки бедра. При госпитализации кроме вывиха бедра 
диагностирован перелом нижнего сегмента головки бедра и закрытый перелом 
с/3 правого плеча (АО 12-В2).

При поступлении выполнено закрытое вправление головки бедра, налажено 
скелетное вытяжение. Контрольный рентген показал разницу в ширине 
суставных щелей в сравнении с неповрежденной стороной. Сделали КТ, 
которое подтвердило наличие внутрисуставного фрагмента задней стенки 
вертлужной впадины и перелом нижне-медиального сегмента головки со 
смещением (Pipkin IV).

Через 12 дней выполнен остеосинтез головки 3-мя самокомпрессирующими 
винтами Герберта. Доступ Kocher-Langenbeck с флип-остеотомией большого 
вертела и задним хирургическим вывихом головки бедра. Интерпонирующий 
внутрисуставной фрагмент представлял собой лабрум с тонкой костной 
пластинкой от заднего края впадины. Фрагмент извлечен и фиксирован 
техникой spring-plate.

Обращал на себя внимание значительный дефект хряща головки бедра в 
нагружаемой зоне (как результат контакта головки с внутрисуставным 
фрагментом). Глубина повреждения хрящевого покрытия в центральной части 
дефекта достигает кости. Ничего не делали, расcчитывая на замещение 
дефекта фиброзным хрящом. Промыли головку с впадиной, вправили вывих и 
ушились с активным дренажом.

Из литературы известно, что повреждения Pipkin IV, а особенно Pipkin 
III, нередко приводят к развитию тяжелого коксартроза с последующей 
заменой сустава. Возникают вполне резонные вопросы о целесообразности 
остеосинтеза в нашем частном случае, где есть дефект хряща в нагружаемой 
зоне. Что скажет сообщество? Есть ли смысл в первичном 
эндопротезировании, несмотря на еще молодой возраст? Есть ли надежные 
хирургические приемы по восстановлению хрящевого покрытия? На ум 
приходит что-то вроде микроперфораций, донорские хрящевые столбики и 
т.д. Есть ли резон?



С уважением, Никита Заднепровский




ГБУЗ НИИ Скорой Помощи им.Н.В.Склифосовского ДЗМ

Отделение сочетанной и множественной травмы
Nikita Zadneprovsky

Новое сообщение находится по адресу
http://weborto.net/forum/1420573156



----------- следущая часть -----------
Вложение не в текстовом формате было извлечено…
Имя     : 1 Preop_dislocation.jpg
Тип     : image/jpeg
Размер  : 49758 байтов
Описание: отсутствует
Url     : http://weborto.net:8080/pipermail/ortho/attachments/20150107/1b8d4005/attachment-0042.jpg 
----------- следущая часть -----------
Вложение не в текстовом формате было извлечено…
Имя     : 2 Preop_reduction.jpg
Тип     : image/jpeg
Размер  : 39594 байтов
Описание: отсутствует
Url     : http://weborto.net:8080/pipermail/ortho/attachments/20150107/1b8d4005/attachment-0043.jpg 
----------- следущая часть -----------
Вложение не в текстовом формате было извлечено…
Имя     : 3 Preop_reduction compar copy.jpg
Тип     : image/jpeg
Размер  : 56005 байтов
Описание: отсутствует
Url     : http://weborto.net:8080/pipermail/ortho/attachments/20150107/1b8d4005/attachment-0044.jpg 
----------- следущая часть -----------
Вложение не в текстовом формате было извлечено…
Имя     : 4 CT PW copy.jpg
Тип     : image/jpeg
Размер  : 87550 байтов
Описание: отсутствует
Url     : http://weborto.net:8080/pipermail/ortho/attachments/20150107/1b8d4005/attachment-0045.jpg 
----------- следущая часть -----------
Вложение не в текстовом формате было извлечено…
Имя     : 5 CT PW inter copy.jpg
Тип     : image/jpeg
Размер  : 62284 байтов
Описание: отсутствует
Url     : http://weborto.net:8080/pipermail/ortho/attachments/20150107/1b8d4005/attachment-0046.jpg 
----------- следущая часть -----------
Вложение не в текстовом формате было извлечено…
Имя     : 6 Pipkin 1 copy.jpg
Тип     : image/jpeg
Размер  : 34092 байтов
Описание: отсутствует
Url     : http://weborto.net:8080/pipermail/ortho/attachments/20150107/1b8d4005/attachment-0047.jpg 
----------- следущая часть -----------
Вложение не в текстовом формате было извлечено…
Имя     : 7 Pipkin 2 copy.jpg
Тип     : image/jpeg
Размер  : 32410 байтов
Описание: отсутствует
Url     : http://weborto.net:8080/pipermail/ortho/attachments/20150107/1b8d4005/attachment-0048.jpg 
----------- следущая часть -----------
Вложение не в текстовом формате было извлечено…
Имя     : 8 Op_1.jpg
Тип     : image/jpeg
Размер  : 104449 байтов
Описание: отсутствует
Url     : http://weborto.net:8080/pipermail/ortho/attachments/20150107/1b8d4005/attachment-0049.jpg 
----------- следущая часть -----------
Вложение не в текстовом формате было извлечено…
Имя     : 9 Op_2.jpg
Тип     : image/jpeg
Размер  : 99346 байтов
Описание: отсутствует
Url     : http://weborto.net:8080/pipermail/ortho/attachments/20150107/1b8d4005/attachment-0050.jpg 
----------- следущая часть -----------
Вложение не в текстовом формате было извлечено…
Имя     : 10 Op_3.jpg
Тип     : image/jpeg
Размер  : 107810 байтов
Описание: отсутствует
Url     : http://weborto.net:8080/pipermail/ortho/attachments/20150107/1b8d4005/attachment-0051.jpg 
----------- следущая часть -----------
Вложение не в текстовом формате было извлечено…
Имя     : 11 Op_4.jpg
Тип     : image/jpeg
Размер  : 75848 байтов
Описание: отсутствует
Url     : http://weborto.net:8080/pipermail/ortho/attachments/20150107/1b8d4005/attachment-0052.jpg 
----------- следущая часть -----------
Вложение не в текстовом формате было извлечено…
Имя     : 12 Op_5.jpg
Тип     : image/jpeg
Размер  : 80400 байтов
Описание: отсутствует
Url     : http://weborto.net:8080/pipermail/ortho/attachments/20150107/1b8d4005/attachment-0053.jpg 
----------- следущая часть -----------
Вложение не в текстовом формате было извлечено…
Имя     : 13 Postop_1.jpg
Тип     : image/jpeg
Размер  : 50526 байтов
Описание: отсутствует
Url     : http://weborto.net:8080/pipermail/ortho/attachments/20150107/1b8d4005/attachment-0054.jpg 
----------- следущая часть -----------
Вложение не в текстовом формате было извлечено…
Имя     : 14 Postop_2.jpg
Тип     : image/jpeg
Размер  : 63670 байтов
Описание: отсутствует
Url     : http://weborto.net:8080/pipermail/ortho/attachments/20150107/1b8d4005/attachment-0055.jpg 


Подробная информация о списке рассылки Ortho