[Ortho] Остеомиелит б/берцовой кости

Михаил orthoforum на weborto.net
Пт Янв 9 23:23:49 YEKT 2015


Доброго времени суток, уважаемые коллеги!Прошу Вашей помощи в лечении 
пациента Н.

Пациент, 33 г. Травма в мае 2014 года в результате ДТП (сбит машиной). 
Оперирован в институте (или центре) травматологии и ортопедии одной из 
среднеазиатских республик (уроженец этой республики).


Обратился к нам в августе, по поводу наличия гнойной раны внутренней
поверхности голени с обильным отделяемым. (Рентгенограммы- фото 1).

Выполнено: остенекрсеквестрэктомия, резекция концов отломков, перемонтаж 
аппарата (фото 2). Рана успешно зажила, пациент исчез из вида.

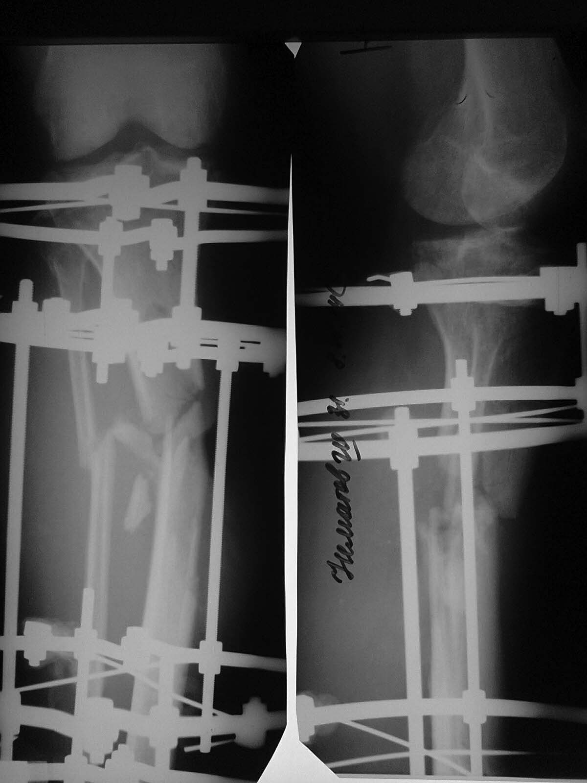
Неделю назад пришел снимать аппарат с рентгенограммами (фото 3,4). Ходит 
с полной безболезненной нагрузкой на конечность, АВФ стабилен, раны от 
опорных элементов спокойны, отек конечности умеренный, в проекции бывшей 
гнойной раны- втянутый рубец (если необходим внешний вид конечности, то 
смогу выложить на следующей неделе,наверное). Учитывая большой дефект 
кости по задней поверхности кости, боимся, что при нагрузке без аппарата 
произойдет перелом.

Вопрос: что делать?

Наши
варианты: 1.снять АВФ, рассверлить канал, установить штифт с 
антибактериальной мантией в виде "протеза" кости;
2.Резекция дефектного участка, остеотомия в н/3, перемонтаж АВФ и
билокальное замещение дефекта. Что Вы посоветуете? Спасибо всем 
откликнувшимся.
Михаил

----------- следущая часть -----------
Вложение не в текстовом формате было извлечено…
Имя     : 220839-1.jpg
Тип     : image/jpeg
Размер  : 102204 байтов
Описание: отсутствует
Url     : http://weborto.net:8080/pipermail/ortho/attachments/20150109/b06eb4af/attachment-0004.jpg 
----------- следущая часть -----------
Вложение не в текстовом формате было извлечено…
Имя     : 220839-2.jpg
Тип     : image/jpeg
Размер  : 99606 байтов
Описание: отсутствует
Url     : http://weborto.net:8080/pipermail/ortho/attachments/20150109/b06eb4af/attachment-0005.jpg 
----------- следущая часть -----------
Вложение не в текстовом формате было извлечено…
Имя     : 220839-3.jpg
Тип     : image/jpeg
Размер  : 134263 байтов
Описание: отсутствует
Url     : http://weborto.net:8080/pipermail/ortho/attachments/20150109/b06eb4af/attachment-0006.jpg 
----------- следущая часть -----------
Вложение не в текстовом формате было извлечено…
Имя     : 220839-4.jpg
Тип     : image/jpeg
Размер  : 103524 байтов
Описание: отсутствует
Url     : http://weborto.net:8080/pipermail/ortho/attachments/20150109/b06eb4af/attachment-0007.jpg 


Подробная информация о списке рассылки Ortho