[Ortho] перелом проксимальной тибии + вывих бедра

Maxim Agalakov orthoforum на weborto.net
Чт Июл 2 15:19:15 YEKST 2015


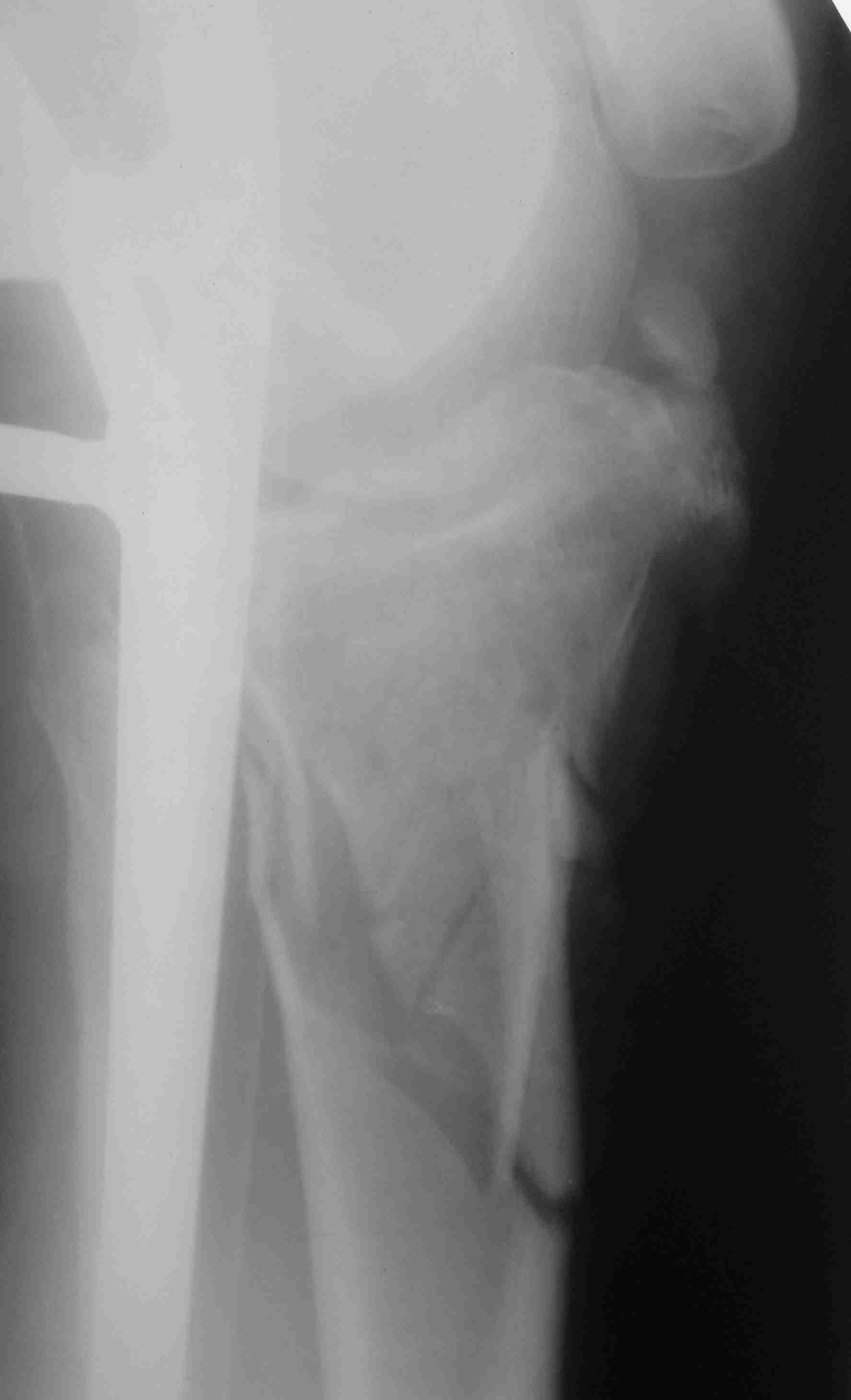
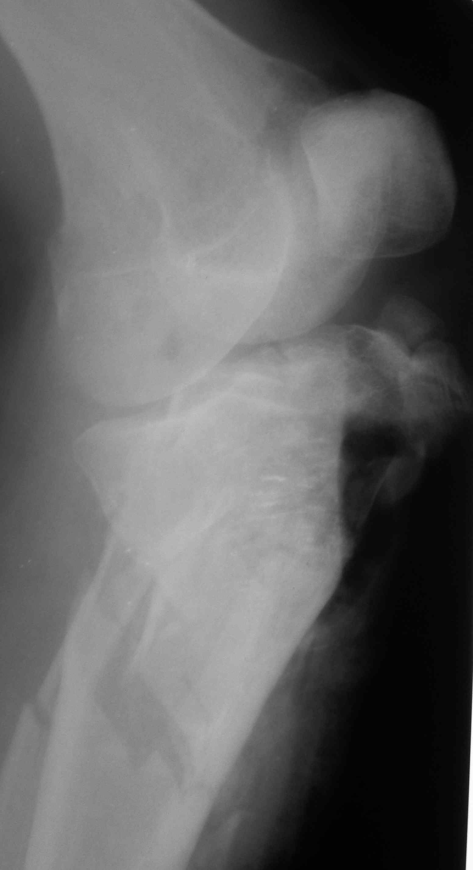
Высокоэнергетическая травма около недели назад, мужчина 39 лет

По месту поступления вывих бедра вправлен, ПХО раны открытого перелома 
б/б кости, скелетное вытяжение. В настоящее время рана заживает неплохо, 
небольшое количество серозно-геморрагического отделяемого, состояние 
мягких тканей неплохое. Планируем остеосинтез плато из 2-х доступов по 
заживлению раны.

Вопросы:
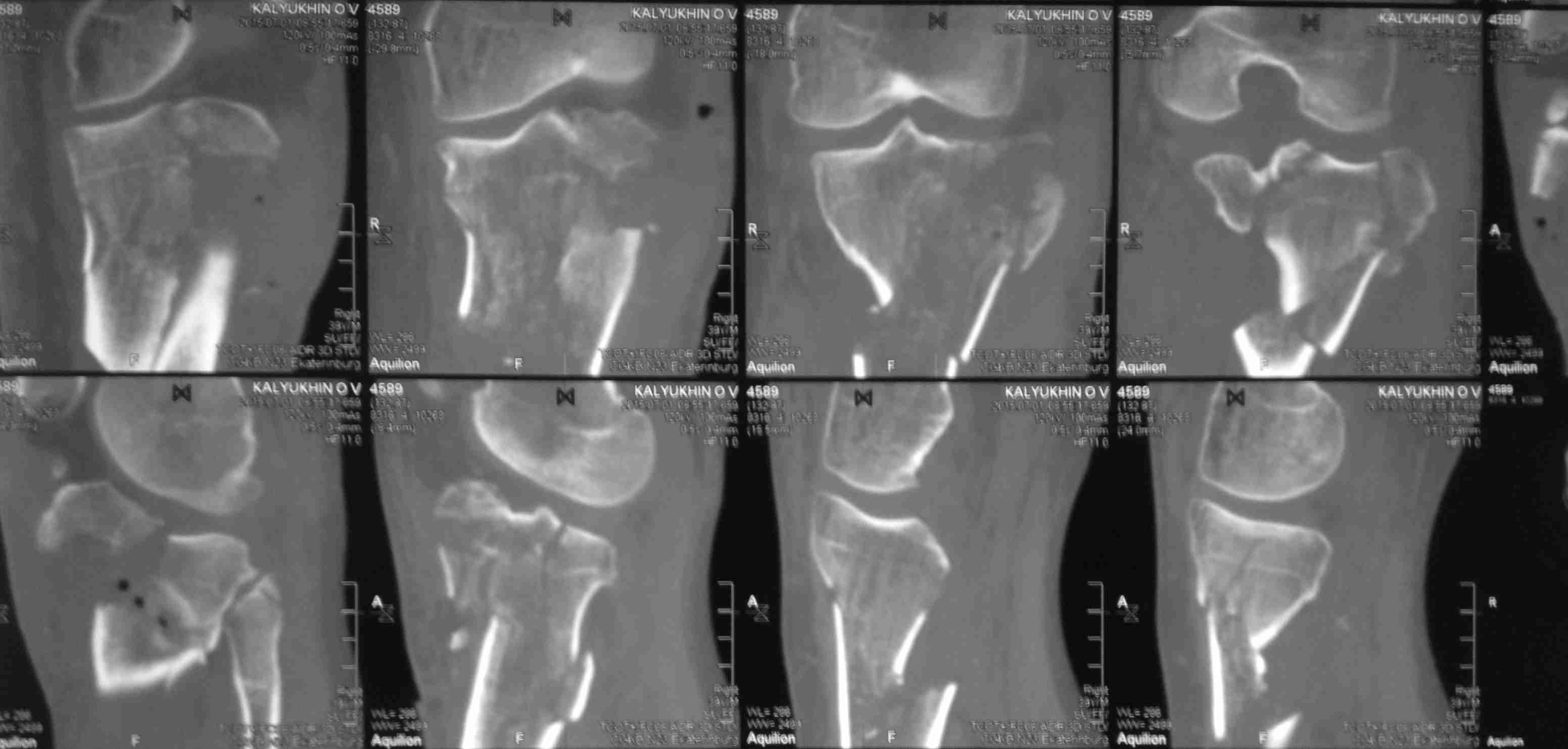
1 смущает фрагмент плато в проекции раны, насколько удобно его будет 
ловить, попробовать полечить в аппарате + винты
закрыто?

2 часть задней стенки в суставе, такое впечатление, что она больше ямки 
и подвывихивает сустав или это ошибочное впечатление?

3. насколько целесообразно искать этот фрагмент во впадине и пытаться 
засинтезировать задний край при наличии довольно выраженного FAI? 
Попробовать при вывихе полечить и то и другое (практического опыта 
лечения FAI нет, шаблонов для головки тоже, артроскопия т/б недоступна)?
С уважением, Максим Агалаков

----------- следущая часть -----------
Вложение не в текстовом формате было извлечено…
Имя     : IMG_1360.JPG
Тип     : image/jpeg
Размер  : 132522 байтов
Описание: отсутствует
Url     : http://weborto.net:8080/pipermail/ortho/attachments/20150702/c5aa1d00/attachment-0013.jpeg 
----------- следущая часть -----------
Вложение не в текстовом формате было извлечено…
Имя     : IMG_1361.JPG
Тип     : image/jpeg
Размер  : 61434 байтов
Описание: отсутствует
Url     : http://weborto.net:8080/pipermail/ortho/attachments/20150702/c5aa1d00/attachment-0014.jpeg 
----------- следущая часть -----------
Вложение не в текстовом формате было извлечено…
Имя     : IMG_1362.JPG
Тип     : image/jpeg
Размер  : 228452 байтов
Описание: отсутствует
Url     : http://weborto.net:8080/pipermail/ortho/attachments/20150702/c5aa1d00/attachment-0015.jpeg 
----------- следущая часть -----------
Вложение не в текстовом формате было извлечено…
Имя     : IMG_1363.JPG
Тип     : image/jpeg
Размер  : 88326 байтов
Описание: отсутствует
Url     : http://weborto.net:8080/pipermail/ortho/attachments/20150702/c5aa1d00/attachment-0016.jpeg 
----------- следущая часть -----------
Вложение не в текстовом формате было извлечено…
Имя     : IMG_1364.JPG
Тип     : image/jpeg
Размер  : 56454 байтов
Описание: отсутствует
Url     : http://weborto.net:8080/pipermail/ortho/attachments/20150702/c5aa1d00/attachment-0017.jpeg 
----------- следущая часть -----------
Вложение не в текстовом формате было извлечено…
Имя     : IMG_1365.JPG
Тип     : image/jpeg
Размер  : 41021 байтов
Описание: отсутствует
Url     : http://weborto.net:8080/pipermail/ortho/attachments/20150702/c5aa1d00/attachment-0018.jpeg 
----------- следущая часть -----------
Вложение не в текстовом формате было извлечено…
Имя     : IMG_1366.JPG
Тип     : image/jpeg
Размер  : 162193 байтов
Описание: отсутствует
Url     : http://weborto.net:8080/pipermail/ortho/attachments/20150702/c5aa1d00/attachment-0019.jpeg 
----------- следущая часть -----------
Вложение не в текстовом формате было извлечено…
Имя     : IMG_1367.JPG
Тип     : image/jpeg
Размер  : 325303 байтов
Описание: отсутствует
Url     : http://weborto.net:8080/pipermail/ortho/attachments/20150702/c5aa1d00/attachment-0020.jpeg 
----------- следущая часть -----------
Вложение не в текстовом формате было извлечено…
Имя     : IMG_1368.JPG
Тип     : image/jpeg
Размер  : 122978 байтов
Описание: отсутствует
Url     : http://weborto.net:8080/pipermail/ortho/attachments/20150702/c5aa1d00/attachment-0021.jpeg 
----------- следущая часть -----------
Вложение не в текстовом формате было извлечено…
Имя     : IMG_1369.JPG
Тип     : image/jpeg
Размер  : 91339 байтов
Описание: отсутствует
Url     : http://weborto.net:8080/pipermail/ortho/attachments/20150702/c5aa1d00/attachment-0022.jpeg 
----------- следущая часть -----------
Вложение не в текстовом формате было извлечено…
Имя     : IMG_1371.JPG
Тип     : image/jpeg
Размер  : 101595 байтов
Описание: отсутствует
Url     : http://weborto.net:8080/pipermail/ortho/attachments/20150702/c5aa1d00/attachment-0023.jpeg 
----------- следущая часть -----------
Вложение не в текстовом формате было извлечено…
Имя     : IMG_1372.JPG
Тип     : image/jpeg
Размер  : 79063 байтов
Описание: отсутствует
Url     : http://weborto.net:8080/pipermail/ortho/attachments/20150702/c5aa1d00/attachment-0024.jpeg 
----------- следущая часть -----------
Вложение не в текстовом формате было извлечено…
Имя     : IMG_1373.JPG
Тип     : image/jpeg
Размер  : 95054 байтов
Описание: отсутствует
Url     : http://weborto.net:8080/pipermail/ortho/attachments/20150702/c5aa1d00/attachment-0025.jpeg 
----------- следущая часть -----------
Вложение не в текстовом формате было извлечено…
Имя     : IMG_1374.jpg
Тип     : image/jpeg
Размер  : 123438 байтов
Описание: отсутствует
Url     : http://weborto.net:8080/pipermail/ortho/attachments/20150702/c5aa1d00/attachment-0002.jpg 
----------- следущая часть -----------
Вложение не в текстовом формате было извлечено…
Имя     : IMG_1375.jpg
Тип     : image/jpeg
Размер  : 53537 байтов
Описание: отсутствует
Url     : http://weborto.net:8080/pipermail/ortho/attachments/20150702/c5aa1d00/attachment-0003.jpg 


Подробная информация о списке рассылки Ortho