[Ortho]

Alexey Semenistyy salut.13 gmail.com
8 12:46:19 YEKST 2015


Можно примерно так

7 июля 2015 г., 18:00 пользователь Alexander Chelnokov <
orthoforum  weborto.net> написал:

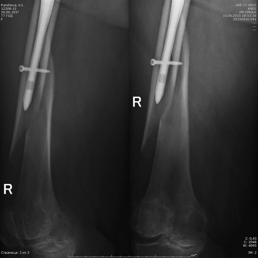
> Привет, Андрей.
> Идеально тут было бы использовать перипротезный гвоздь - но это в
> условиях Москвы задержка дня два на его изготовление. Но это
> индустриальный. Если какой-то кустарный вариант из старых запасов
> канюлированных гвоздей большого диаметра - можно и за полчаса подготовить.
> Более распространенные варианты - замена на длинный PFN и пластина.
> Alexander Chelnokov
>
> _______________________________________________
> Ortho mailing list
> Ortho  weborto.net
> http://weborto.net:8080/mailman/listinfo/ortho
>



-- 
С уважением, А.Семенистый.
ГКБ № 13, Москва.
-----------   -----------
Вложение в формате HTML было извлечено&hellip;
URL: http://weborto.net:8080/pipermail/ortho/attachments/20150708/b4a49f9d/attachment-0001.htm 
-----------   -----------
Вложение не в текстовом формате было извлечено&hellip;
Имя     : 20150416-041_DR SINGLE _1.jpg
Тип     : image/jpeg
Размер  : 56161 байтов
Описание: отсутствует
Url     : http://weborto.net:8080/pipermail/ortho/attachments/20150708/b4a49f9d/attachment-0004.jpg 
-----------   -----------
Вложение не в текстовом формате было извлечено&hellip;
Имя     : 20150416-041_DR SINGLE _2.jpg
Тип     : image/jpeg
Размер  : 51557 байтов
Описание: отсутствует
Url     : http://weborto.net:8080/pipermail/ortho/attachments/20150708/b4a49f9d/attachment-0005.jpg 
-----------   -----------
Вложение не в текстовом формате было извлечено&hellip;
Имя     : 20150424-019_DR SINGLE _1.jpg
Тип     : image/jpeg
Размер  : 63098 байтов
Описание: отсутствует
Url     : http://weborto.net:8080/pipermail/ortho/attachments/20150708/b4a49f9d/attachment-0006.jpg 
-----------   -----------
Вложение не в текстовом формате было извлечено&hellip;
Имя     : 20150424-019_DR SINGLE _4.jpg
Тип     : image/jpeg
Размер  : 68558 байтов
Описание: отсутствует
Url     : http://weborto.net:8080/pipermail/ortho/attachments/20150708/b4a49f9d/attachment-0007.jpg 


Ortho