[Ortho] Осложнение Hallux valgus

Рамиль orthoforum на weborto.net
Ср Июл 8 22:14:25 YEKST 2015


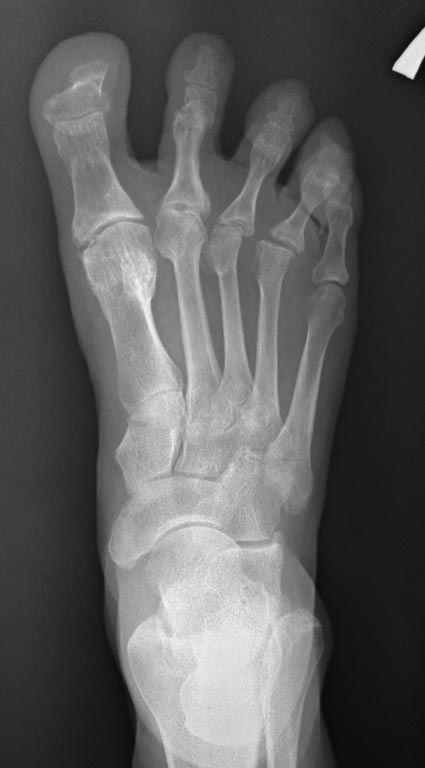
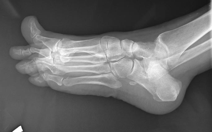
Пциентка Н, 58 лет. Больна с 2005г. Лечилась консервативно. Со слов, 
тогда было сильное искривление 1,2,3,4 пальцев в латеральную сторону.

В 2012г. операция: коррекция деформаций 1,2,3, 4 пальцев.Рецидив.

В 2013г. коррекция деформации 2,3,4 пальцев. С ноября
2014г. рецидив деформации 1,2,3,4 пальцев.

Возможные варианты коррекции?
Рамиль

----------- следущая часть -----------
Вложение не в текстовом формате было извлечено…
Имя     : и?ЪПВТБЦЕОИ?Е 001.jpg
Тип     : image/jpeg
Размер  : 41939 байтов
Описание: отсутствует
Url     : http://weborto.net:8080/pipermail/ortho/attachments/20150708/cbaf029c/attachment-0005.jpg 
----------- следущая часть -----------
Вложение не в текстовом формате было извлечено…
Имя     : и?ЪПВТБЦЕОИ?Е 002.jpg
Тип     : image/jpeg
Размер  : 44656 байтов
Описание: отсутствует
Url     : http://weborto.net:8080/pipermail/ortho/attachments/20150708/cbaf029c/attachment-0006.jpg 
----------- следущая часть -----------
Вложение не в текстовом формате было извлечено…
Имя     : и?ЪПВТБЦЕОИ?Е 003.jpg
Тип     : image/jpeg
Размер  : 111336 байтов
Описание: отсутствует
Url     : http://weborto.net:8080/pipermail/ortho/attachments/20150708/cbaf029c/attachment-0007.jpg 
----------- следущая часть -----------
Вложение не в текстовом формате было извлечено…
Имя     : и?ЪПВТБЦЕОИ?Е 004.jpg
Тип     : image/jpeg
Размер  : 103131 байтов
Описание: отсутствует
Url     : http://weborto.net:8080/pipermail/ortho/attachments/20150708/cbaf029c/attachment-0008.jpg 
----------- следущая часть -----------
Вложение не в текстовом формате было извлечено…
Имя     : и?ЪПВТБЦЕОИ?Е 005.jpg
Тип     : image/jpeg
Размер  : 91942 байтов
Описание: отсутствует
Url     : http://weborto.net:8080/pipermail/ortho/attachments/20150708/cbaf029c/attachment-0009.jpg 


Подробная информация о списке рассылки Ortho