[Ortho] Перимплантный перелом бедра

Alexander Chelnokov orthoforum на weborto.net
Чт Июл 9 01:21:40 YEKST 2015


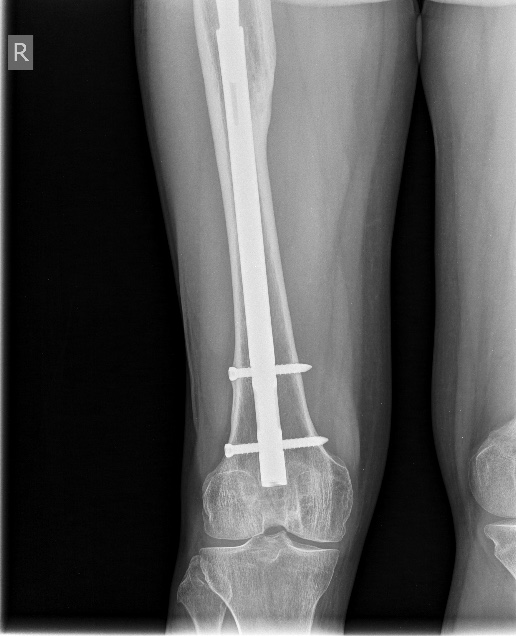
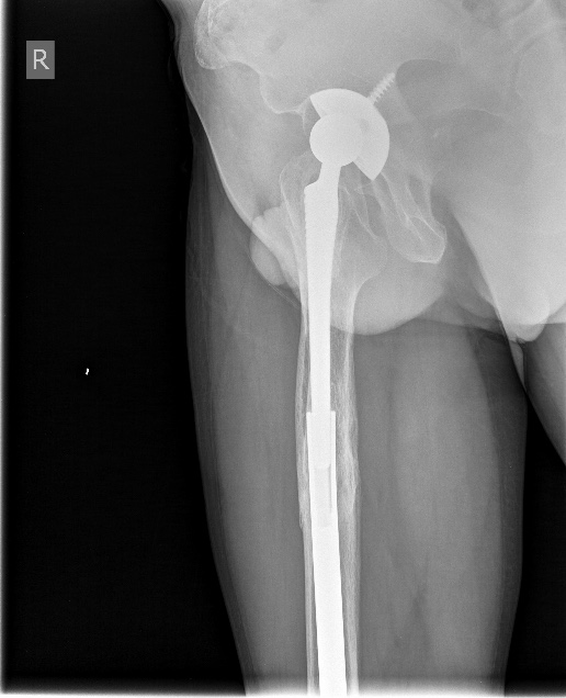
Закрытое штифтование с удлинением бесцементной ножки при переломах 
Vancouver B2/ B3 дает неожиданно для приверженцев традиционной догмы 
хорошие результаты.
Здесь  - http://weborto.net/forum/1256380983/ -  первое наше наблюдение 
такого остеосинтеза с нестабильной ножкой. Прошло уже 6 лет - вот 
недавние снимки. Пациент не имеет жалоб, катается на коньках. Никакие 
дистальные винты не выдержали бы циклических нагрузок столько лет, если 
бы ножка оставалась нестабильной.

Alexander Chelnokov

----------- следущая часть -----------
Вложение не в текстовом формате было извлечено…
Имя     : Full Leg AP.0001.jpg
Тип     : image/jpeg
Размер  : 110995 байтов
Описание: отсутствует
Url     : http://weborto.net:8080/pipermail/ortho/attachments/20150709/ed1d775e/attachment-0004.jpg 
----------- следущая часть -----------
Вложение не в текстовом формате было извлечено…
Имя     : Full Leg AP.0002.jpg
Тип     : image/jpeg
Размер  : 93872 байтов
Описание: отсутствует
Url     : http://weborto.net:8080/pipermail/ortho/attachments/20150709/ed1d775e/attachment-0005.jpg 
----------- следущая часть -----------
Вложение не в текстовом формате было извлечено…
Имя     : Full Leg AP.0003.jpg
Тип     : image/jpeg
Размер  : 86731 байтов
Описание: отсутствует
Url     : http://weborto.net:8080/pipermail/ortho/attachments/20150709/ed1d775e/attachment-0006.jpg 
----------- следущая часть -----------
Вложение не в текстовом формате было извлечено…
Имя     : Full Leg AP.0004.jpg
Тип     : image/jpeg
Размер  : 98953 байтов
Описание: отсутствует
Url     : http://weborto.net:8080/pipermail/ortho/attachments/20150709/ed1d775e/attachment-0007.jpg 


Подробная информация о списке рассылки Ortho