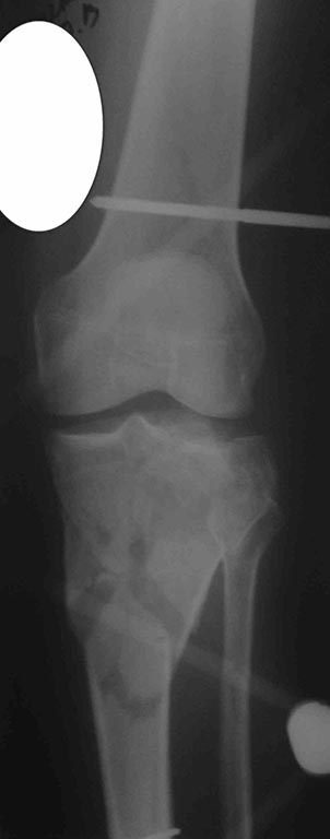
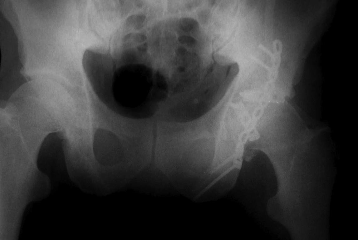
[Ortho] перелом проксимальной тибии + вывих бедра

Maxim Agalakov orthoforum на weborto.net
Чт Июл 9 20:25:15 YEKST 2015


сегодня только такое
Maxim Agalakov

----------- следущая часть -----------
Вложение не в текстовом формате было извлечено…
Имя     : 2.jpg
Тип     : image/jpeg
Размер  : 35159 байтов
Описание: отсутствует
Url     : http://weborto.net:8080/pipermail/ortho/attachments/20150709/81a1ac23/attachment-0002.jpg 
----------- следущая часть -----------
Вложение не в текстовом формате было извлечено…
Имя     : 3.jpg
Тип     : image/jpeg
Размер  : 30665 байтов
Описание: отсутствует
Url     : http://weborto.net:8080/pipermail/ortho/attachments/20150709/81a1ac23/attachment-0003.jpg 
----------- следущая часть -----------
Вложение не в текстовом формате было извлечено…
Имя     : фото (4).JPG
Тип     : image/jpeg
Размер  : 62421 байтов
Описание: отсутствует
Url     : http://weborto.net:8080/pipermail/ortho/attachments/20150709/81a1ac23/attachment-0001.jpeg 


Подробная информация о списке рассылки Ortho