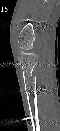
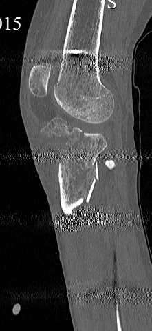
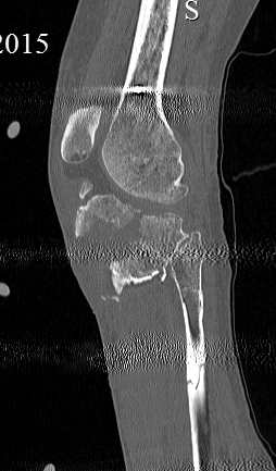
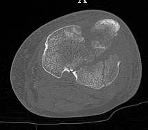
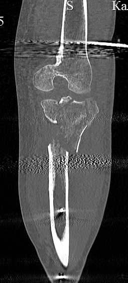
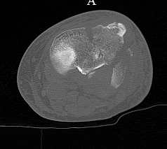
[Ortho] перелом проксимальной тибии + вывих бедра

Maxim Agalakov orthoforum на weborto.net
Пт Июл 10 14:53:42 YEKST 2015


Серия КТ сканов в аппарате
Maxim Agalakov

----------- следущая часть -----------
Вложение не в текстовом формате было извлечено…
Имя     : 1.jpg
Тип     : image/jpeg
Размер  : 3925 байтов
Описание: отсутствует
Url     : http://weborto.net:8080/pipermail/ortho/attachments/20150710/f93b6f4a/attachment-0009.jpg 
----------- следущая часть -----------
Вложение не в текстовом формате было извлечено…
Имя     : 2.jpg
Тип     : image/jpeg
Размер  : 4669 байтов
Описание: отсутствует
Url     : http://weborto.net:8080/pipermail/ortho/attachments/20150710/f93b6f4a/attachment-0010.jpg 
----------- следущая часть -----------
Вложение не в текстовом формате было извлечено…
Имя     : 3.jpg
Тип     : image/jpeg
Размер  : 4998 байтов
Описание: отсутствует
Url     : http://weborto.net:8080/pipermail/ortho/attachments/20150710/f93b6f4a/attachment-0011.jpg 
----------- следущая часть -----------
Вложение не в текстовом формате было извлечено…
Имя     : 4.jpg
Тип     : image/jpeg
Размер  : 4582 байтов
Описание: отсутствует
Url     : http://weborto.net:8080/pipermail/ortho/attachments/20150710/f93b6f4a/attachment-0012.jpg 
----------- следущая часть -----------
Вложение не в текстовом формате было извлечено…
Имя     : 5.jpg
Тип     : image/jpeg
Размер  : 18551 байтов
Описание: отсутствует
Url     : http://weborto.net:8080/pipermail/ortho/attachments/20150710/f93b6f4a/attachment-0013.jpg 
----------- следущая часть -----------
Вложение не в текстовом формате было извлечено…
Имя     : 6.jpg
Тип     : image/jpeg
Размер  : 14911 байтов
Описание: отсутствует
Url     : http://weborto.net:8080/pipermail/ortho/attachments/20150710/f93b6f4a/attachment-0014.jpg 
----------- следущая часть -----------
Вложение не в текстовом формате было извлечено…
Имя     : 7.jpg
Тип     : image/jpeg
Размер  : 14093 байтов
Описание: отсутствует
Url     : http://weborto.net:8080/pipermail/ortho/attachments/20150710/f93b6f4a/attachment-0015.jpg 
----------- следущая часть -----------
Вложение не в текстовом формате было извлечено…
Имя     : 8.jpg
Тип     : image/jpeg
Размер  : 12527 байтов
Описание: отсутствует
Url     : http://weborto.net:8080/pipermail/ortho/attachments/20150710/f93b6f4a/attachment-0016.jpg 
----------- следущая часть -----------
Вложение не в текстовом формате было извлечено…
Имя     : 9.jpg
Тип     : image/jpeg
Размер  : 13656 байтов
Описание: отсутствует
Url     : http://weborto.net:8080/pipermail/ortho/attachments/20150710/f93b6f4a/attachment-0017.jpg 
----------- следущая часть -----------
Вложение не в текстовом формате было извлечено…
Имя     : IMG_1395.JPG
Тип     : image/jpeg
Размер  : 88769 байтов
Описание: отсутствует
Url     : http://weborto.net:8080/pipermail/ortho/attachments/20150710/f93b6f4a/attachment-0001.jpeg 


Подробная информация о списке рассылки Ortho