[Ortho] дисплазия у взрослых

Maxim Agalakov orthoforum на weborto.net
Вт Июл 14 10:54:33 YEKST 2015


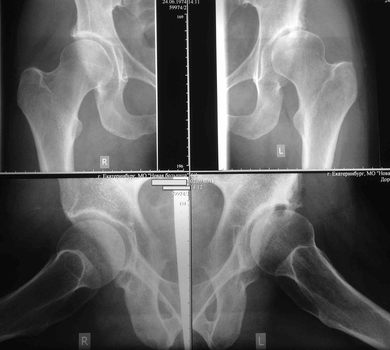
Обратилась молодая приятная женщина 41 года с диспластическим коксартрозом.

Беспокоит боль в левом тазобедренном суставе при движениях. Везде, где 
она консультировалась однозначно предлагали эндопротезирование. На мой 
взгляд за сустав еще можно побороться. Возьмет кто-нибудь на ПАО? лучше 
контакты человека, который предметно этим занимается. Люди приличные, в 
долгу не останутся. Насколько я знаю, наибольший опыт у нас во Вредена, 
буду очень признателен, если кто откликнется.
Maxim Agalakov


----------- следущая часть -----------
Вложение не в текстовом формате было извлечено…
Имя     : 1.jpg
Тип     : image/jpeg
Размер  : 130527 байтов
Описание: отсутствует
Url     : http://weborto.net:8080/pipermail/ortho/attachments/20150714/c4c9d5a8/attachment-0001.jpg 


Подробная информация о списке рассылки Ortho