[Ortho]

Djoldas Kuldjanov orthoforum weborto.net
17 01:06:01 YEKST 2015


>чего вы ждете? закрывайте пока что есть с грануляциями

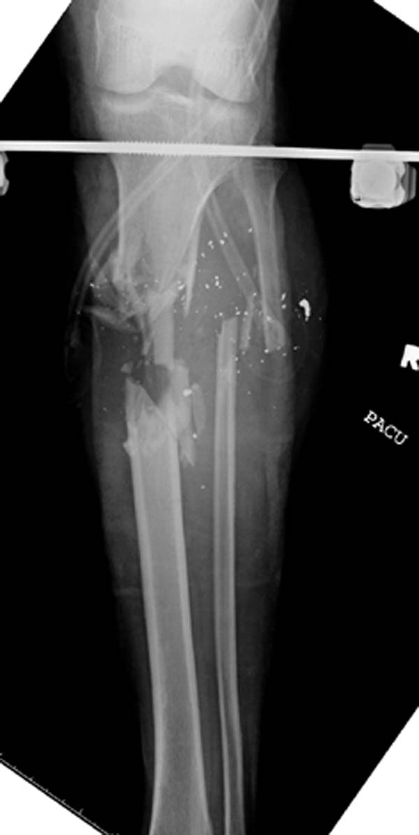
Под воздействием вакуума образовалась готовая к кожной пластике 
грануляционная поверхность, но не стал бы спешить, потому что посаженная 
на кость кожа имеет плохое питание  и легко травмируется. В данном 
варианте, кроме закрытия дефекта необходимо решить проблему сращения 
кости, потому что в зоне с пониженным кровообращением восстановление 
происходит медленнее и в  большинстве открытые, инфецированные переломы 
осложняются атрофическим ложным суставом!

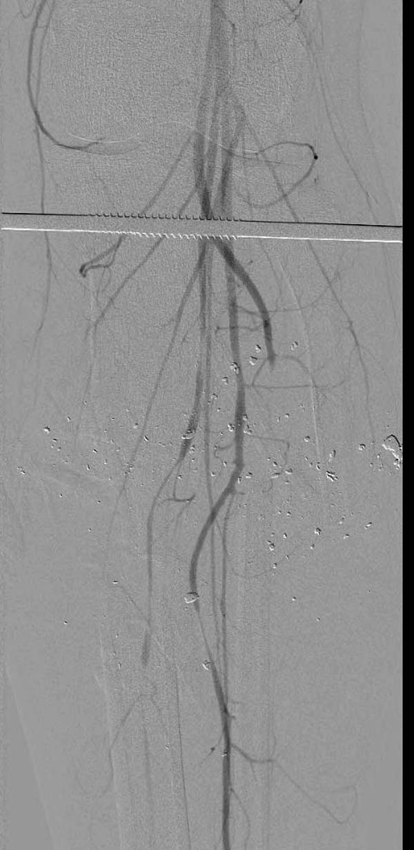
Нехватка кровообращения решается подведением“спасательной подушки”  из 
мышцы. Усиленное кровообращение легко справляется инфекцией, а также 
облегчает кожную пластику. Ротируется мышца, а на нее можно сажать кожу, 
и проводить вакуумирование до периода приживления кожи...

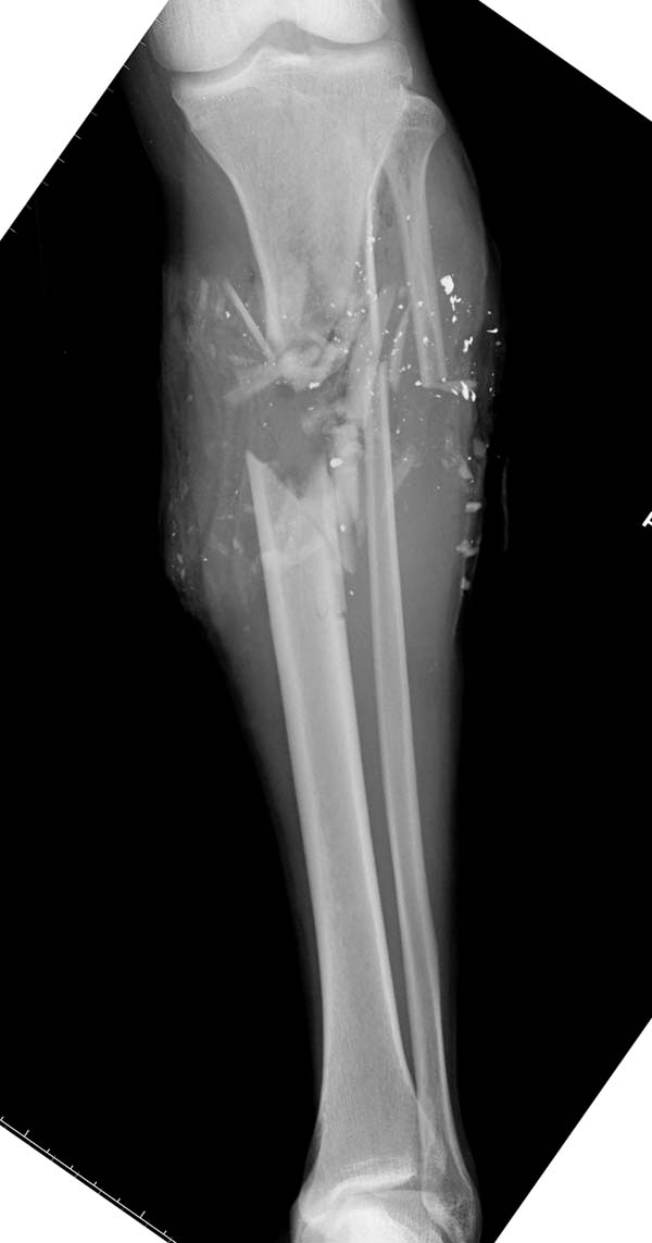
Здесь примерный протокол лечения открытых ран с дефектом кости и мягких 
тканей. Применение вакуума с первых дней предупреждает
инфецирование раны и, не ожидая закрытия дефекта, можно проводит 
фиксацию даже внутрикостными фиксаторами. Затем можно продолжить 
процедуры по закрытию мягкотканннего дефекта.

Такая этапная тактика: Irrigation and Debridement, наружный фиксатор, 
вакуум, гвоздь, покрытие дефекта с ротацией medial gastroc и c кожной
пластикой позволяет более агрессивно, в короткие сроки, создать более 
благоприятные условия для восставления переломов с дефектом мягких
тканей


С уважение,
Djoldas Kuldjanov


-----------   -----------
Вложение не в текстовом формате было извлечено…
Имя     : 01 gsw injury med wound.jpg
Тип     : image/jpeg
Размер  : 71619 байтов
Описание: отсутствует
Url     : http://weborto.net:8080/pipermail/ortho/attachments/20150717/eea7e369/attachment-0013.jpg 
-----------   -----------
Вложение не в текстовом формате было извлечено…
Имя     : 1 gsw tibia ap injury.jpg
Тип     : image/jpeg
Размер  : 46619 байтов
Описание: отсутствует
Url     : http://weborto.net:8080/pipermail/ortho/attachments/20150717/eea7e369/attachment-0014.jpg 
-----------   -----------
Вложение не в текстовом формате было извлечено…
Имя     : 2 gsw tibia lat injury.jpg
Тип     : image/jpeg
Размер  : 43241 байтов
Описание: отсутствует
Url     : http://weborto.net:8080/pipermail/ortho/attachments/20150717/eea7e369/attachment-0015.jpg 
-----------   -----------
Вложение не в текстовом формате было извлечено…
Имя     : 3 gsw medial wound.jpg
Тип     : image/jpeg
Размер  : 65784 байтов
Описание: отсутствует
Url     : http://weborto.net:8080/pipermail/ortho/attachments/20150717/eea7e369/attachment-0016.jpg 
-----------   -----------
Вложение не в текстовом формате было извлечено…
Имя     : 3 gsw tibila pin.jpg
Тип     : image/jpeg
Размер  : 35562 байтов
Описание: отсутствует
Url     : http://weborto.net:8080/pipermail/ortho/attachments/20150717/eea7e369/attachment-0017.jpg 
-----------   -----------
Вложение не в текстовом формате было извлечено…
Имя     : 4 GSW calcaneal pin.jpg
Тип     : image/jpeg
Размер  : 23874 байтов
Описание: отсутствует
Url     : http://weborto.net:8080/pipermail/ortho/attachments/20150717/eea7e369/attachment-0018.jpg 
-----------   -----------
Вложение не в текстовом формате было извлечено…
Имя     : 04 gsw st.post ExFix.jpg
Тип     : image/jpeg
Размер  : 74611 байтов
Описание: отсутствует
Url     : http://weborto.net:8080/pipermail/ortho/attachments/20150717/eea7e369/attachment-0019.jpg 
-----------   -----------
Вложение не в текстовом формате было извлечено…
Имя     : 5 gsw tibila  exfix.jpg
Тип     : image/jpeg
Размер  : 44685 байтов
Описание: отсутствует
Url     : http://weborto.net:8080/pipermail/ortho/attachments/20150717/eea7e369/attachment-0020.jpg 
-----------   -----------
Вложение не в текстовом формате было извлечено…
Имя     : 05.JPG
Тип     : image/jpeg
Размер  : 572956 байтов
Описание: отсутствует
Url     : http://weborto.net:8080/pipermail/ortho/attachments/20150717/eea7e369/attachment-0002.jpeg 
-----------   -----------
Вложение не в текстовом формате было извлечено…
Имя     : 6 gsw tibia abgiography.jpg
Тип     : image/jpeg
Размер  : 86688 байтов
Описание: отсутствует
Url     : http://weborto.net:8080/pipermail/ortho/attachments/20150717/eea7e369/attachment-0021.jpg 
-----------   -----------
Вложение не в текстовом формате было извлечено…
Имя     : 07.JPG
Тип     : image/jpeg
Размер  : 176943 байтов
Описание: отсутствует
Url     : http://weborto.net:8080/pipermail/ortho/attachments/20150717/eea7e369/attachment-0003.jpeg 
-----------   -----------
Вложение не в текстовом формате было извлечено…
Имя     : 13  gsw medial post IM pre softtissue plasty.jpg
Тип     : image/jpeg
Размер  : 61294 байтов
Описание: отсутствует
Url     : http://weborto.net:8080/pipermail/ortho/attachments/20150717/eea7e369/attachment-0022.jpg 
-----------   -----------
Вложение не в текстовом формате было извлечено…
Имя     : 14 gsw soft tissue gastroc transfer.jpg
Тип     : image/jpeg
Размер  : 83967 байтов
Описание: отсутствует
Url     : http://weborto.net:8080/pipermail/ortho/attachments/20150717/eea7e369/attachment-0023.jpg 
-----------   -----------
Вложение не в текстовом формате было извлечено…
Имя     : 15 gsw gastroc transfer.jpg
Тип     : image/jpeg
Размер  : 92789 байтов
Описание: отсутствует
Url     : http://weborto.net:8080/pipermail/ortho/attachments/20150717/eea7e369/attachment-0024.jpg 
-----------   -----------
Вложение не в текстовом формате было извлечено…
Имя     : 16  gsw gastroc skin graft.jpg
Тип     : image/jpeg
Размер  : 82298 байтов
Описание: отсутствует
Url     : http://weborto.net:8080/pipermail/ortho/attachments/20150717/eea7e369/attachment-0025.jpg 


Ortho