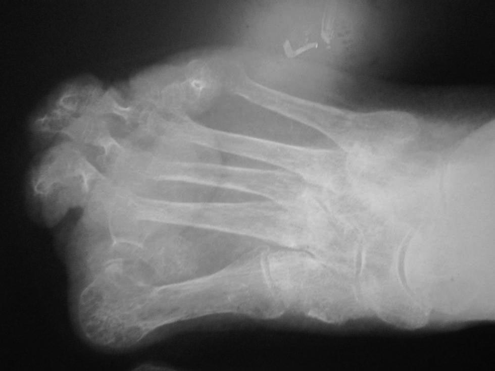
[Ortho] Hallux abductovalgus

Виктор orthoforum на weborto.net
Пн Июл 20 10:30:58 YEKST 2015


рентген
Виктор

----------- следущая часть -----------
Вложение не в текстовом формате было извлечено…
Имя     : IMG_0826_980x735.jpg
Тип     : image/jpeg
Размер  : 51839 байтов
Описание: отсутствует
Url     : http://weborto.net:8080/pipermail/ortho/attachments/20150720/fdf13edc/attachment-0001.jpg 


Подробная информация о списке рассылки Ortho