[Ortho] Деформация стопы

Абдурашид Тураев orthoforum на weborto.net
Пт Июл 24 20:18:52 YEKST 2015


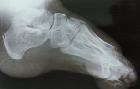
Уважаемые коллеги, специалисты подиатрии! Сегодня обратилась девочка 
2004 г.р. , лет 7-8 назад оперирована в одной центральной клинике, 
по-видимому, по поводу косолапости, ахиллопластика и аппаратом 
Илизарова( документов нет).

Просит исправить деформацию и чтобы могла одеть нормальную обувь .Фото и 
Р-графия предлагается, где имеется вывих в плюснефаланговом суставе и 
медиальная девиация всех пальцев, 1- палец пассивно поднимается до
горизонтали, при этом подошвенная фасция сильно натягивается, но 
разгибания нет, медиальная девиация пальцев исправлению поддается без труда.

Честно признаться, пока конкретных мыслей нет, уважаемые коллеги ждем 
Ваших рекомендации!

С уважением Абдурашид.



----------- следущая часть -----------
Вложение не в текстовом формате было извлечено…
Имя     : 20150724_092844.jpg
Тип     : image/jpeg
Размер  : 17673 байтов
Описание: отсутствует
Url     : http://weborto.net:8080/pipermail/ortho/attachments/20150724/6a288144/attachment-0005.jpg 
----------- следущая часть -----------
Вложение не в текстовом формате было извлечено…
Имя     : 20150724_092904.jpg
Тип     : image/jpeg
Размер  : 15901 байтов
Описание: отсутствует
Url     : http://weborto.net:8080/pipermail/ortho/attachments/20150724/6a288144/attachment-0006.jpg 
----------- следущая часть -----------
Вложение не в текстовом формате было извлечено…
Имя     : 20150724_092951.jpg
Тип     : image/jpeg
Размер  : 14822 байтов
Описание: отсутствует
Url     : http://weborto.net:8080/pipermail/ortho/attachments/20150724/6a288144/attachment-0007.jpg 
----------- следущая часть -----------
Вложение не в текстовом формате было извлечено…
Имя     : 20150724_102407.jpg
Тип     : image/jpeg
Размер  : 17163 байтов
Описание: отсутствует
Url     : http://weborto.net:8080/pipermail/ortho/attachments/20150724/6a288144/attachment-0008.jpg 
----------- следущая часть -----------
Вложение не в текстовом формате было извлечено…
Имя     : 20150724_102425.jpg
Тип     : image/jpeg
Размер  : 18455 байтов
Описание: отсутствует
Url     : http://weborto.net:8080/pipermail/ortho/attachments/20150724/6a288144/attachment-0009.jpg 


Подробная информация о списке рассылки Ortho