[Ortho] Остеосинтез н/3 предплечья

Молодой специалист orthoforum на weborto.net
Вт Июл 28 00:18:43 YEKST 2015


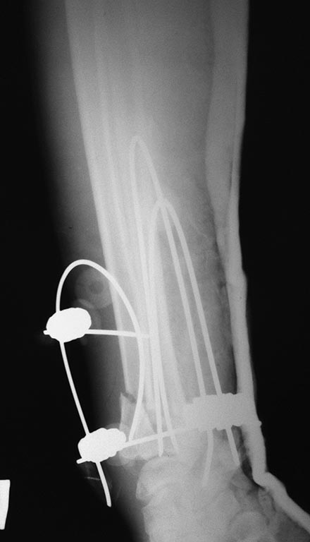
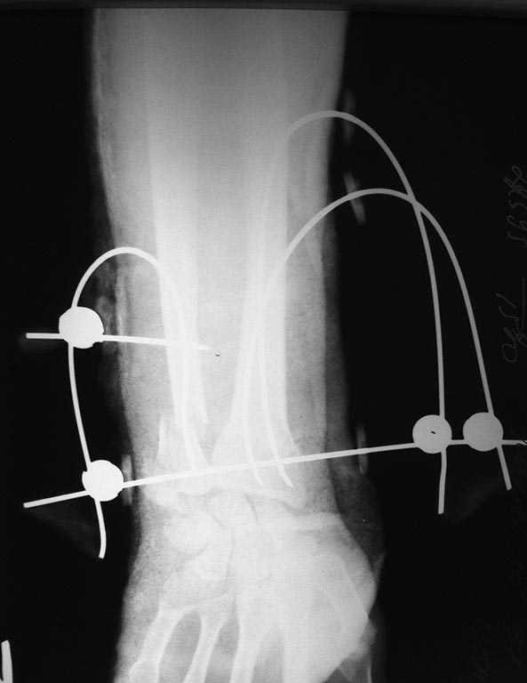
Р-граммы
Молодой специалист


----------- следущая часть -----------
Вложение не в текстовом формате было извлечено…
Имя     : image (1).jpg
Тип     : image/jpeg
Размер  : 55716 байтов
Описание: отсутствует
Url     : http://weborto.net:8080/pipermail/ortho/attachments/20150727/02ea54a2/attachment-0002.jpg 
----------- следущая часть -----------
Вложение не в текстовом формате было извлечено…
Имя     : image (2).jpg
Тип     : image/jpeg
Размер  : 44185 байтов
Описание: отсутствует
Url     : http://weborto.net:8080/pipermail/ortho/attachments/20150727/02ea54a2/attachment-0003.jpg 


Подробная информация о списке рассылки Ortho