[Ortho] Остеосинтез н/3 предплечья

Молодой специалист orthoforum на weborto.net
Вт Июл 28 14:08:48 YEKST 2015


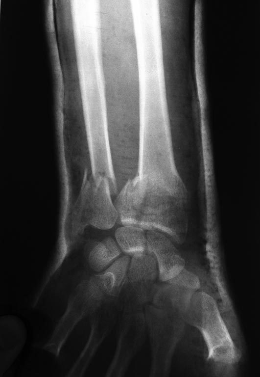
Здравствуйте, Александр Николаевич! Такой вариант я, находясь у Вас на 
учебе, видел и рассматривал. Но у меня перелом лучевой кости 
внутрисуставной и локтевая сломана. В итоге то, что придумалось мне 
показалось приемлимее.

Р-грамма после репозиции.

Молодой специалист


----------- следущая часть -----------
Вложение не в текстовом формате было извлечено…
Имя     : image.jpg
Тип     : image/jpeg
Размер  : 51430 байтов
Описание: отсутствует
Url     : http://weborto.net:8080/pipermail/ortho/attachments/20150728/cafc67d2/attachment-0001.jpg 


Подробная информация о списке рассылки Ortho