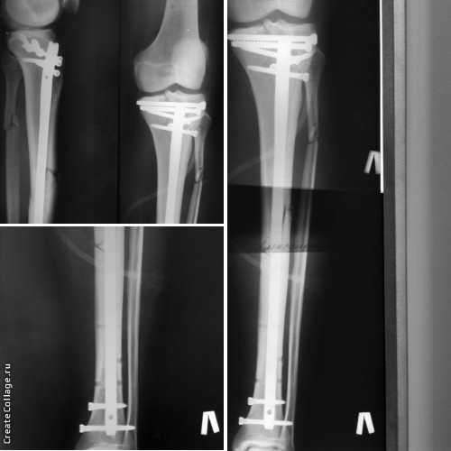
[Ortho] Перелом плато и диафиза большеберцовой кости

Иван orthoforum на weborto.net
Чт Июл 30 18:20:49 YEKST 2015


Результат
Иван


----------- следущая часть -----------
Вложение не в текстовом формате было извлечено…
Имя     : бМЕЛУ_4.jpg
Тип     : image/jpeg
Размер  : 38013 байтов
Описание: отсутствует
Url     : http://weborto.net:8080/pipermail/ortho/attachments/20150730/191a5369/attachment-0001.jpg 


Подробная информация о списке рассылки Ortho