[Ortho] Осложненный перелом голени

Роман orthoforum на weborto.net
Пн Июн 1 22:00:28 YEKST 2015


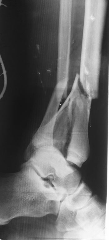
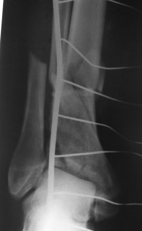
Небольшое уточнение: оперирован 1 августа, в ноябре снята база со стопы, 
в конце декабря демонтаж аппарата. Показания к снятию аппарата- 
заключение рентгенолога - консолидирующийся перелом, отсутствие 
патологической подвижности. Рана заживала около 3 -х месяцев условно 
первичным натяжением. Так как нет КТ руководствовались в основном 
рентген снимками.
Снимки при поступлении, спустя 2,5 месяца. Рентген снимки после снятия 
аппарата в архиве пришлю позже. Осылаю КТ от апреля.
Роман

----------- следущая часть -----------
Вложение не в текстовом формате было извлечено…
Имя     : 2,5month AP.jpg
Тип     : image/jpeg
Размер  : 55034 байтов
Описание: отсутствует
Url     : http://weborto.net:8080/pipermail/ortho/attachments/20150601/e773a7a0/attachment-0005.jpg 
----------- следущая часть -----------
Вложение не в текстовом формате было извлечено…
Имя     : 2,5month lat.jpg
Тип     : image/jpeg
Размер  : 48813 байтов
Описание: отсутствует
Url     : http://weborto.net:8080/pipermail/ortho/attachments/20150601/e773a7a0/attachment-0006.jpg 
----------- следущая часть -----------
Вложение не в текстовом формате было извлечено…
Имя     : CT1.jpg
Тип     : image/jpeg
Размер  : 50937 байтов
Описание: отсутствует
Url     : http://weborto.net:8080/pipermail/ortho/attachments/20150601/e773a7a0/attachment-0007.jpg 
----------- следущая часть -----------
Вложение не в текстовом формате было извлечено…
Имя     : image.jpg
Тип     : image/jpeg
Размер  : 40170 байтов
Описание: отсутствует
Url     : http://weborto.net:8080/pipermail/ortho/attachments/20150601/e773a7a0/attachment-0008.jpg 
----------- следущая часть -----------
Вложение не в текстовом формате было извлечено…
Имя     : imagelat.jpg
Тип     : image/jpeg
Размер  : 42138 байтов
Описание: отсутствует
Url     : http://weborto.net:8080/pipermail/ortho/attachments/20150601/e773a7a0/attachment-0009.jpg 


Подробная информация о списке рассылки Ortho