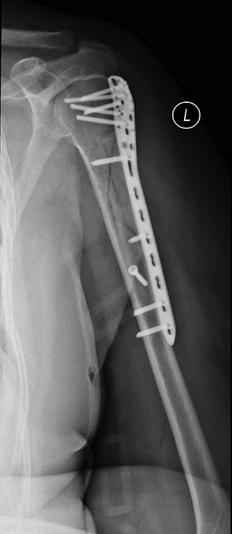
[Ortho] Нестабильность остеосинтеза, несращение перелома плечевой кости.

Николай orthoforum на weborto.net
Пн Июн 1 22:45:09 YEKST 2015


   то что было после операции
Николай

----------- следущая часть -----------
Вложение не в текстовом формате было извлечено…
Имя     : 3.JPG
Тип     : image/jpeg
Размер  : 43516 байтов
Описание: отсутствует
Url     : http://weborto.net:8080/pipermail/ortho/attachments/20150601/d4220103/attachment-0001.jpeg 


Подробная информация о списке рассылки Ortho