[Ortho] Нелеченный более полугода перелом проксимального отдела tibia - что делать???

Данилов Евгений Кислицын Михаил ГБ 38 orthoforum на weborto.net
Ср Июн 3 15:10:13 YEKST 2015


Уважаемые коллеги, форумчане! Хочется услышать ваше мнение по данной 
проблеме.

Пациент мужчина, 46 лет, гражданин Украины, рост 170, вес около 70-74. 
Работал до травмы и в настоящее время, средние физические нагрузки. 
Травма в декабре 2014, со слов, выставил прямую ногу вперед во время 
катания на велосипеде, факту травмы не придал значение вплоть до
моего осмотра (апрель 2015), лечил ушиб.

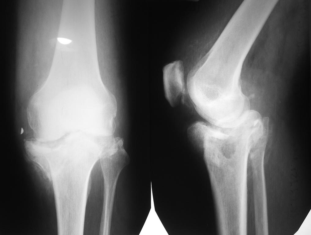
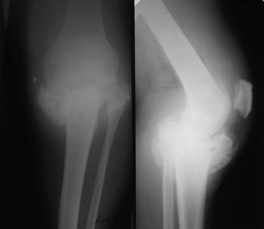
Рентгенограммы (1) январь 2015 год, (2) 25.05.2015 г.

Порочное положение конечности, объем движений: разгибание в к/суставе до 
165 - 170 гр, сгибание до 105-110, выраженная хромота, болезненность при 
нагрузках и в ночное время, но работать может. Онкоанамнез не отягощен, 
туберкулезом не болел (спросил, учитывая странное соотношение тяжести и 
механизма травмы).

Диагноз: Посттравматическая деформация проксимального отдела 
большеберцовой кости как исход ее многооскольчатого (С3) перелома. По 
срокам после травмы (более 6 мес): Ложный сустав (неоартроз) 
проксимального отдела ББК. Эндопротез пациенту не доступен 100% (тем 
более при таком дефекте ББК), поэтому мы можем предложить ему 
остеосинтез или артродез.

Вопросы:
1. Ваше мнение по тактике лечения.

2. При артродезе:
- гвоздь бедро-голень?
- открыто или закрыто?
- сколько этапов?
- что предпринять, чтобы оставить как можно меньший дефект,
исключив тем самым большое укорочение конечности)?

3. Для этого случая и на будущее: гвоздь бедро-голень где найти, как 
заказать, инструмент?! Большое всем спасибо.

С уважением, вр Кислицын, вр Данилов
Гб38 г. Пушкин

----------- следущая часть -----------
Вложение не в текстовом формате было извлечено…
Имя     : 1.JPG
Тип     : image/jpeg
Размер  : 68185 байтов
Описание: отсутствует
Url     : http://weborto.net:8080/pipermail/ortho/attachments/20150603/83caf6ad/attachment.jpe 
----------- следущая часть -----------
Вложение не в текстовом формате было извлечено…
Имя     : 2.JPG
Тип     : image/jpeg
Размер  : 49366 байтов
Описание: отсутствует
Url     : http://weborto.net:8080/pipermail/ortho/attachments/20150603/83caf6ad/attachment-0002.jpeg 


Подробная информация о списке рассылки Ortho