[Ortho] Пилон - спортивная травма

Djoldas Kuldjanov orthoforum на weborto.net
Чт Июн 4 01:36:20 YEKST 2015


Уважаемый Денис,

С ответом немного задержался, хотел подобрать материал, но трудно найти 
идентичный случай. На всякий случай подобрал пару, надеюсь, поможет.
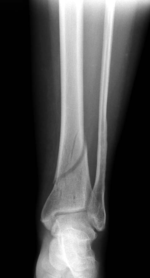
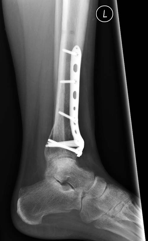
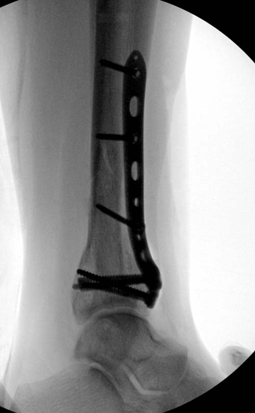
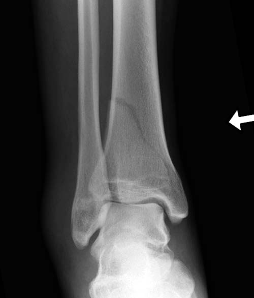
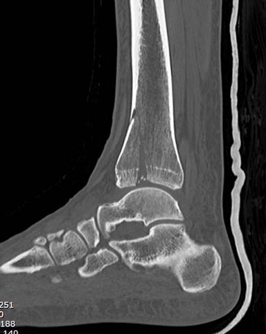
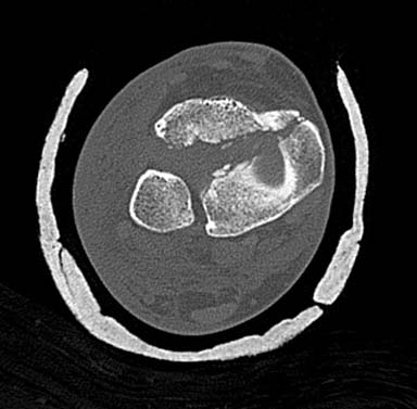
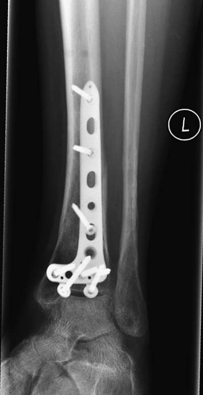
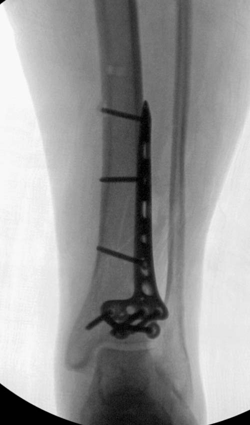
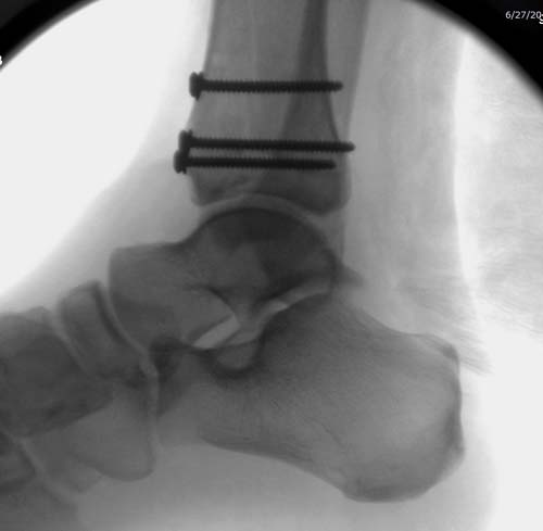
Первый случай, где перелом в результате падения с  небольшой высоты, где 
мортиз рентген снимок показал отстутствие укорочения наружной
лодыжки и КТ срезы подсказали направления атаки. После такой фиксации 
нет надобности в гипсовой повязке, брейс и через две недели движения в
суставе без нагрузки.

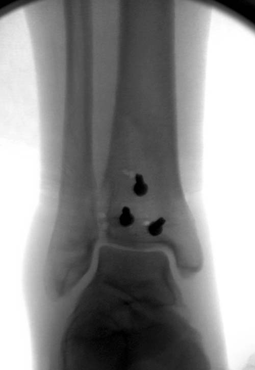
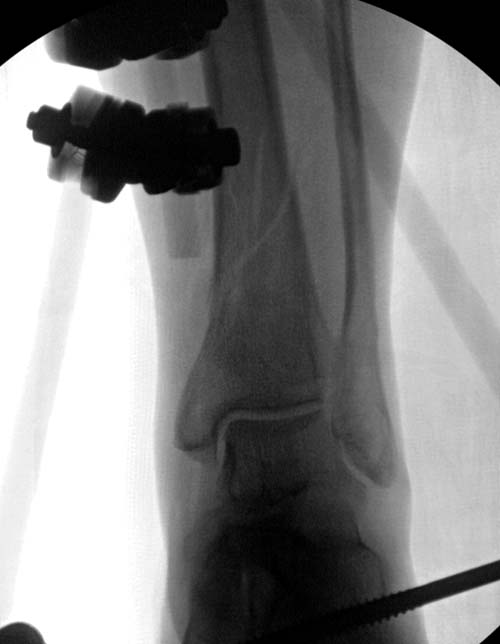
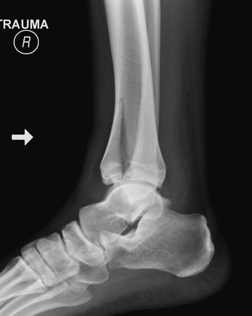
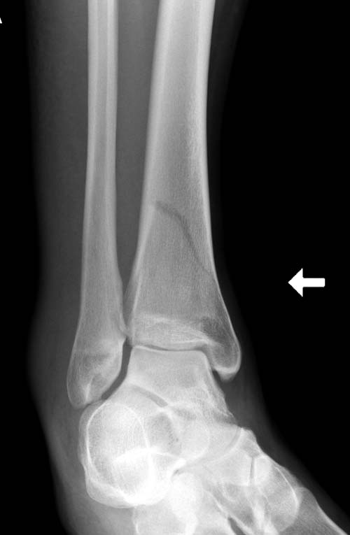
Второй случай в результате скоростной травмы, кроме пилона, вовлечение 
других органов! Отек при поступлении и открытый перелом на другой 
стороне. В таких случаях нет смысла спешить, и временный наружный 
фиксатор на несколько дней. После спадения отека фиксация 
передне-наружной пластиной.  Реабилитация - ранние движения, без
нагрузки.

> Свяжитесь со мной Что-нибудь придумаем


Не надо долго думать! Если желаете перкутанный план, тогда надо спешить, 
потому что ожидание затруднит репозицию. Вместо спонгиозных,
рекомендуются обычные кортикальные 3.5 мм!


Djoldas Kuldjanov, M.D.
Department of Orthopedic Surgery
St. Louis University


----------- следущая часть -----------
Вложение не в текстовом формате было извлечено…
Имя     : Pilon 1.jpg
Тип     : image/jpeg
Размер  : 26528 байтов
Описание: отсутствует
Url     : http://weborto.net:8080/pipermail/ortho/attachments/20150604/9d764ca7/attachment-0018.jpg 
----------- следущая часть -----------
Вложение не в текстовом формате было извлечено…
Имя     : Pilon 2.jpg
Тип     : image/jpeg
Размер  : 33914 байтов
Описание: отсутствует
Url     : http://weborto.net:8080/pipermail/ortho/attachments/20150604/9d764ca7/attachment-0019.jpg 
----------- следущая часть -----------
Вложение не в текстовом формате было извлечено…
Имя     : Pilon 3.jpg
Тип     : image/jpeg
Размер  : 32105 байтов
Описание: отсутствует
Url     : http://weborto.net:8080/pipermail/ortho/attachments/20150604/9d764ca7/attachment-0020.jpg 
----------- следущая часть -----------
Вложение не в текстовом формате было извлечено…
Имя     : Pilon 8.jpg
Тип     : image/jpeg
Размер  : 40687 байтов
Описание: отсутствует
Url     : http://weborto.net:8080/pipermail/ortho/attachments/20150604/9d764ca7/attachment-0021.jpg 
----------- следущая часть -----------
Вложение не в текстовом формате было извлечено…
Имя     : Pilon 10.jpg
Тип     : image/jpeg
Размер  : 42326 байтов
Описание: отсутствует
Url     : http://weborto.net:8080/pipermail/ortho/attachments/20150604/9d764ca7/attachment-0022.jpg 
----------- следущая часть -----------
Вложение не в текстовом формате было извлечено…
Имя     : Pilon 12.jpg
Тип     : image/jpeg
Размер  : 37061 байтов
Описание: отсутствует
Url     : http://weborto.net:8080/pipermail/ortho/attachments/20150604/9d764ca7/attachment-0023.jpg 
----------- следущая часть -----------
Вложение не в текстовом формате было извлечено…
Имя     : Pilon 14.jpg
Тип     : image/jpeg
Размер  : 34511 байтов
Описание: отсутствует
Url     : http://weborto.net:8080/pipermail/ortho/attachments/20150604/9d764ca7/attachment-0024.jpg 
----------- следущая часть -----------
Вложение не в текстовом формате было извлечено…
Имя     : Pilon 16.jpg
Тип     : image/jpeg
Размер  : 26772 байтов
Описание: отсутствует
Url     : http://weborto.net:8080/pipermail/ortho/attachments/20150604/9d764ca7/attachment-0025.jpg 
----------- следущая часть -----------
Вложение не в текстовом формате было извлечено…
Имя     : Pilon 18.jpg
Тип     : image/jpeg
Размер  : 24630 байтов
Описание: отсутствует
Url     : http://weborto.net:8080/pipermail/ortho/attachments/20150604/9d764ca7/attachment-0026.jpg 
----------- следущая часть -----------
Вложение не в текстовом формате было извлечено…
Имя     : Pilon extent 1.jpg
Тип     : image/jpeg
Размер  : 32086 байтов
Описание: отсутствует
Url     : http://weborto.net:8080/pipermail/ortho/attachments/20150604/9d764ca7/attachment-0027.jpg 
----------- следущая часть -----------
Вложение не в текстовом формате было извлечено…
Имя     : Pilon extent 2.jpg
Тип     : image/jpeg
Размер  : 36057 байтов
Описание: отсутствует
Url     : http://weborto.net:8080/pipermail/ortho/attachments/20150604/9d764ca7/attachment-0028.jpg 
----------- следущая часть -----------
Вложение не в текстовом формате было извлечено…
Имя     : Pilon extent 9.jpg
Тип     : image/jpeg
Размер  : 33221 байтов
Описание: отсутствует
Url     : http://weborto.net:8080/pipermail/ortho/attachments/20150604/9d764ca7/attachment-0029.jpg 
----------- следущая часть -----------
Вложение не в текстовом формате было извлечено…
Имя     : Pilon extent 10.jpg
Тип     : image/jpeg
Размер  : 34840 байтов
Описание: отсутствует
Url     : http://weborto.net:8080/pipermail/ortho/attachments/20150604/9d764ca7/attachment-0030.jpg 
----------- следущая часть -----------
Вложение не в текстовом формате было извлечено…
Имя     : Pilon extent 11.jpg
Тип     : image/jpeg
Размер  : 38650 байтов
Описание: отсутствует
Url     : http://weborto.net:8080/pipermail/ortho/attachments/20150604/9d764ca7/attachment-0031.jpg 
----------- следущая часть -----------
Вложение не в текстовом формате было извлечено…
Имя     : Pilon extent 12.jpg
Тип     : image/jpeg
Размер  : 37545 байтов
Описание: отсутствует
Url     : http://weborto.net:8080/pipermail/ortho/attachments/20150604/9d764ca7/attachment-0032.jpg 
----------- следущая часть -----------
Вложение не в текстовом формате было извлечено…
Имя     : Pilon extent 14.jpg
Тип     : image/jpeg
Размер  : 37515 байтов
Описание: отсутствует
Url     : http://weborto.net:8080/pipermail/ortho/attachments/20150604/9d764ca7/attachment-0033.jpg 
----------- следущая часть -----------
Вложение не в текстовом формате было извлечено…
Имя     : Pilon extent 15.jpg
Тип     : image/jpeg
Размер  : 35230 байтов
Описание: отсутствует
Url     : http://weborto.net:8080/pipermail/ortho/attachments/20150604/9d764ca7/attachment-0034.jpg 
----------- следущая часть -----------
Вложение не в текстовом формате было извлечено…
Имя     : Pilon extent 16.jpg
Тип     : image/jpeg
Размер  : 39481 байтов
Описание: отсутствует
Url     : http://weborto.net:8080/pipermail/ortho/attachments/20150604/9d764ca7/attachment-0035.jpg 


Подробная информация о списке рассылки Ortho