[Ortho] Перипротезный перелом бедра и перелом костей голени

Павел orthoforum на weborto.net
Пн Июн 15 22:51:23 YEKST 2015


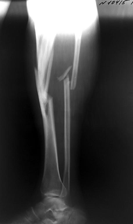
Здравствуйте!Пациент М 54 года. 25.05.2015 г. в результате ДТП получает 
сочетанную травму.
Снимки прилагаются. Интересно ваше мнение по тактике лечения данного 
пациента. Есть многочисленные металлоконструкции и технологии 
оперативных вмешательств.
P.s. Прошу прощение за качество снимков.


Павел


----------- следущая часть -----------
Вложение не в текстовом формате было извлечено…
Имя     : IMG_0896.JPG
Тип     : image/jpeg
Размер  : 30608 байтов
Описание: отсутствует
Url     : http://weborto.net:8080/pipermail/ortho/attachments/20150615/52ea1be0/attachment-0005.jpeg 
----------- следущая часть -----------
Вложение не в текстовом формате было извлечено…
Имя     : IMG_0897.JPG
Тип     : image/jpeg
Размер  : 27609 байтов
Описание: отсутствует
Url     : http://weborto.net:8080/pipermail/ortho/attachments/20150615/52ea1be0/attachment-0006.jpeg 


Подробная информация о списке рассылки Ortho