[Ortho] КТ сложного перелома TIBIA

Михаил Кислицын orthoforum на weborto.net
Вт Июн 16 17:38:17 YEKST 2015


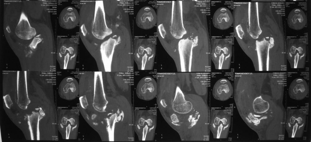
Пациент выполнил КТ коленного сустава. У кого как-то изменилось мнение 
про тактику, пожалуйста, напишите. Спасибо
Михаил Кислицын


----------- следущая часть -----------
Вложение не в текстовом формате было извлечено…
Имя     : IMG_7611.JPG
Тип     : image/jpeg
Размер  : 130825 байтов
Описание: отсутствует
Url     : http://weborto.net:8080/pipermail/ortho/attachments/20150616/903856b7/attachment-0002.jpeg 
----------- следущая часть -----------
Вложение не в текстовом формате было извлечено…
Имя     : IMG_7612.JPG
Тип     : image/jpeg
Размер  : 96980 байтов
Описание: отсутствует
Url     : http://weborto.net:8080/pipermail/ortho/attachments/20150616/903856b7/attachment-0003.jpeg 


Подробная информация о списке рассылки Ortho