[Ortho] Нелеченный перелом шейки таранной кости у 14-летнего подростка

Alexander Chelnokov orthoforum на weborto.net
Сб Июн 27 15:49:21 YEKST 2015


Приветствую, коллеги

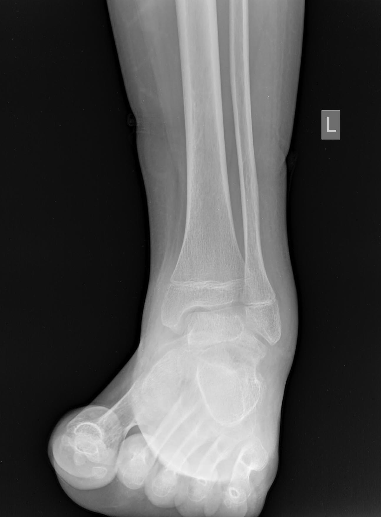
Вчера был на консультации. Травма 2 мес. назад. На снимках перелом шейки 
таранной кости в детской больнице не увидели.

Сказали, мол, растяжение - наступай. Ну вот он и наступает. Сейчас ходит 
с тростью.

Что делать? Подтаранный артродез с gjgsnrjq сохранить голеностопный 
сустав, или большеберцово-пяточный блок с использованием остатка 
таранной кости в качестве трансплантата?


A boy 14 was referred yesterday.

Injured 2 mnth ago, the fracture was missed somewhere, and he was 
recommended to walk. And he was trying to do this all that time. Now he 
is able to walk with cane.


Either subtalar fusion with attempt of ankle preservation, or 
tibio-calcaneal fusion with the use of remnant of the talar dome as a graft?

How would you manage this case?
Alexander Chelnokov


----------- следущая часть -----------
Вложение не в текстовом формате было извлечено…
Имя     : 1.jpg
Тип     : image/jpeg
Размер  : 84926 байтов
Описание: отсутствует
Url     : http://weborto.net:8080/pipermail/ortho/attachments/20150627/f02fba0d/attachment-0002.jpg 
----------- следущая часть -----------
Вложение не в текстовом формате было извлечено…
Имя     : 2.jpg
Тип     : image/jpeg
Размер  : 114843 байтов
Описание: отсутствует
Url     : http://weborto.net:8080/pipermail/ortho/attachments/20150627/f02fba0d/attachment-0003.jpg 


Подробная информация о списке рассылки Ortho