[Ortho] dr_elkin на mail.ru

Денис Ёлкин orthoforum на weborto.net
Пн Июн 29 01:55:02 YEKST 2015


Здравствуйте, коллеги!
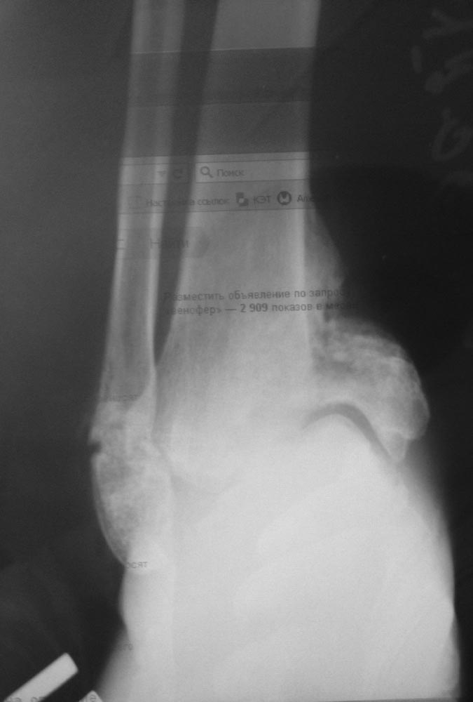
У пациентки 28 лет СД 1 типа, остеоартропатия стопы, полинейропатия. 
Перелом лодыжек и пяточной кости произошёл, по-видимому, спонтанно, без 
явной травмы3 месяца назад.	

Сейчас признаки консолидации лодыжек в порочном положении - вн. лодыжка 
смещена краниально, стопа в варусе. Аваскулярный некроз таранной кости с 
частичным остеолизом.Возникает мысль о необходимости артродеза 
голеностопного и подтаранного суставов штифтом.В настоящее время СД 
компенсирован.

Как думаете, насколько велик риск осложнений после операции?

PS извините за качество снимка, пока располагаю только таким.
Денис Ёлкин



----------- следущая часть -----------
Вложение не в текстовом формате было извлечено…
Имя     : image1-1.jpg
Тип     : image/jpeg
Размер  : 52752 байтов
Описание: отсутствует
Url     : http://weborto.net:8080/pipermail/ortho/attachments/20150629/7c172f60/attachment-0001.jpg 


Подробная информация о списке рассылки Ortho