[Ortho] Нелеченный перелом Hoffa

Djoldas Kuldjanov orthoforum на weborto.net
Ср Мар 4 18:56:43 YEKT 2015


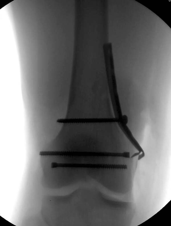
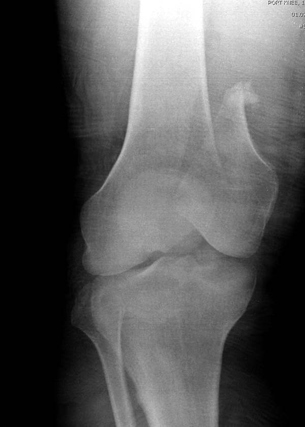
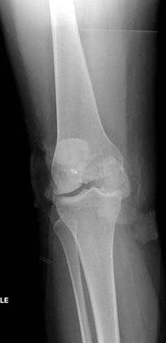
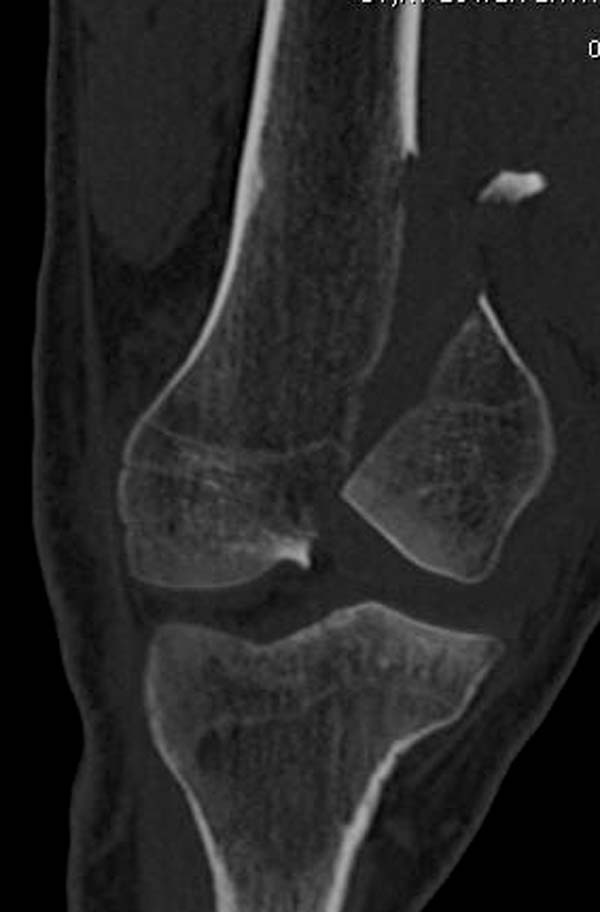
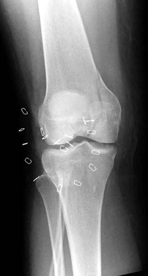
Здесь представлены различные варианты фиксации перелома, а также снимки 
комбинации перелома с повреждением хряща (12-19). Пластика хряща 
OsseoFit и установка custom made plate.
Djoldas Kuldjanov


----------- следущая часть -----------
Вложение не в текстовом формате было извлечено…
Имя     : 1 med condyle.jpg
Тип     : image/jpeg
Размер  : 43864 байтов
Описание: отсутствует
Url     : http://weborto.net:8080/pipermail/ortho/attachments/20150304/3511d8b1/attachment-0040.jpg 
----------- следущая часть -----------
Вложение не в текстовом формате было извлечено…
Имя     : 2 med cond.jpg
Тип     : image/jpeg
Размер  : 27433 байтов
Описание: отсутствует
Url     : http://weborto.net:8080/pipermail/ortho/attachments/20150304/3511d8b1/attachment-0041.jpg 
----------- следущая часть -----------
Вложение не в текстовом формате было извлечено…
Имя     : 3.jpg
Тип     : image/jpeg
Размер  : 42399 байтов
Описание: отсутствует
Url     : http://weborto.net:8080/pipermail/ortho/attachments/20150304/3511d8b1/attachment-0042.jpg 
----------- следущая часть -----------
Вложение не в текстовом формате было извлечено…
Имя     : 4.jpg
Тип     : image/jpeg
Размер  : 38598 байтов
Описание: отсутствует
Url     : http://weborto.net:8080/pipermail/ortho/attachments/20150304/3511d8b1/attachment-0043.jpg 
----------- следущая часть -----------
Вложение не в текстовом формате было извлечено…
Имя     : 5.jpg
Тип     : image/jpeg
Размер  : 39437 байтов
Описание: отсутствует
Url     : http://weborto.net:8080/pipermail/ortho/attachments/20150304/3511d8b1/attachment-0044.jpg 
----------- следущая часть -----------
Вложение не в текстовом формате было извлечено…
Имя     : 6.jpg
Тип     : image/jpeg
Размер  : 31506 байтов
Описание: отсутствует
Url     : http://weborto.net:8080/pipermail/ortho/attachments/20150304/3511d8b1/attachment-0045.jpg 
----------- следущая часть -----------
Вложение не в текстовом формате было извлечено…
Имя     : 7.jpg
Тип     : image/jpeg
Размер  : 27581 байтов
Описание: отсутствует
Url     : http://weborto.net:8080/pipermail/ortho/attachments/20150304/3511d8b1/attachment-0046.jpg 
----------- следущая часть -----------
Вложение не в текстовом формате было извлечено…
Имя     : 8.jpg
Тип     : image/jpeg
Размер  : 38181 байтов
Описание: отсутствует
Url     : http://weborto.net:8080/pipermail/ortho/attachments/20150304/3511d8b1/attachment-0047.jpg 
----------- следущая часть -----------
Вложение не в текстовом формате было извлечено…
Имя     : 9.jpg
Тип     : image/jpeg
Размер  : 27985 байтов
Описание: отсутствует
Url     : http://weborto.net:8080/pipermail/ortho/attachments/20150304/3511d8b1/attachment-0048.jpg 
----------- следущая часть -----------
Вложение не в текстовом формате было извлечено…
Имя     : 10.jpg
Тип     : image/jpeg
Размер  : 30580 байтов
Описание: отсутствует
Url     : http://weborto.net:8080/pipermail/ortho/attachments/20150304/3511d8b1/attachment-0049.jpg 
----------- следущая часть -----------
Вложение не в текстовом формате было извлечено…
Имя     : 12 cartilage.jpg
Тип     : image/jpeg
Размер  : 18013 байтов
Описание: отсутствует
Url     : http://weborto.net:8080/pipermail/ortho/attachments/20150304/3511d8b1/attachment-0050.jpg 
----------- следущая часть -----------
Вложение не в текстовом формате было извлечено…
Имя     : 13 cartilage.jpg
Тип     : image/jpeg
Размер  : 22586 байтов
Описание: отсутствует
Url     : http://weborto.net:8080/pipermail/ortho/attachments/20150304/3511d8b1/attachment-0051.jpg 
----------- следущая часть -----------
Вложение не в текстовом формате было извлечено…
Имя     : 14 cartilage.jpg
Тип     : image/jpeg
Размер  : 24807 байтов
Описание: отсутствует
Url     : http://weborto.net:8080/pipermail/ortho/attachments/20150304/3511d8b1/attachment-0052.jpg 
----------- следущая часть -----------
Вложение не в текстовом формате было извлечено…
Имя     : 15 cartilage.jpg
Тип     : image/jpeg
Размер  : 19223 байтов
Описание: отсутствует
Url     : http://weborto.net:8080/pipermail/ortho/attachments/20150304/3511d8b1/attachment-0053.jpg 
----------- следущая часть -----------
Вложение не в текстовом формате было извлечено…
Имя     : 16 cartilge.jpg
Тип     : image/jpeg
Размер  : 22702 байтов
Описание: отсутствует
Url     : http://weborto.net:8080/pipermail/ortho/attachments/20150304/3511d8b1/attachment-0054.jpg 
----------- следущая часть -----------
Вложение не в текстовом формате было извлечено…
Имя     : 17 cartilge.jpg
Тип     : image/jpeg
Размер  : 33068 байтов
Описание: отсутствует
Url     : http://weborto.net:8080/pipermail/ortho/attachments/20150304/3511d8b1/attachment-0055.jpg 
----------- следущая часть -----------
Вложение не в текстовом формате было извлечено…
Имя     : 18 cartilage.jpg
Тип     : image/jpeg
Размер  : 38183 байтов
Описание: отсутствует
Url     : http://weborto.net:8080/pipermail/ortho/attachments/20150304/3511d8b1/attachment-0056.jpg 
----------- следущая часть -----------
Вложение не в текстовом формате было извлечено…
Имя     : 19 cartilage.jpg
Тип     : image/jpeg
Размер  : 29910 байтов
Описание: отсутствует
Url     : http://weborto.net:8080/pipermail/ortho/attachments/20150304/3511d8b1/attachment-0057.jpg 


Подробная информация о списке рассылки Ortho