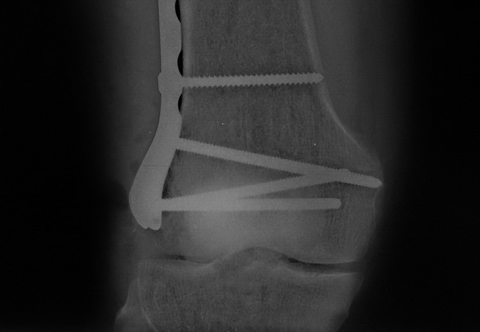
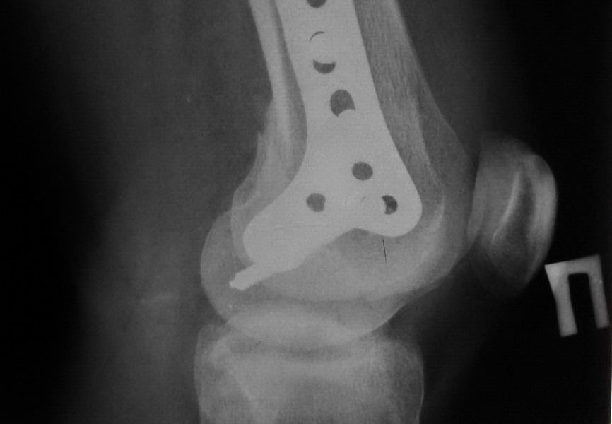
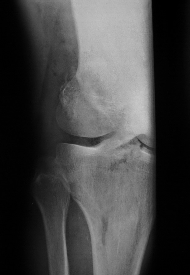
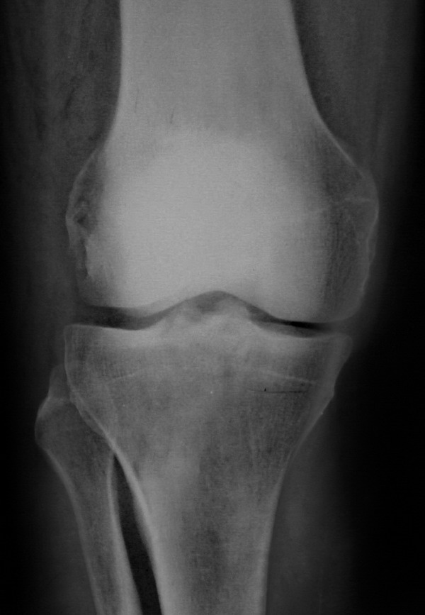
[Ortho] Нелеченный перелом Hoffa

Андрей orthoforum на weborto.net
Чт Мар 5 01:32:04 YEKT 2015


Остеосинтез LCP пластиной
Андрей


----------- следущая часть -----------
Вложение не в текстовом формате было извлечено…
Имя     : DSC00011.jpg
Тип     : image/jpeg
Размер  : 79334 байтов
Описание: отсутствует
Url     : http://weborto.net:8080/pipermail/ortho/attachments/20150305/3f8d0597/attachment-0005.jpg 
----------- следущая часть -----------
Вложение не в текстовом формате было извлечено…
Имя     : DSC00012.jpg
Тип     : image/jpeg
Размер  : 77670 байтов
Описание: отсутствует
Url     : http://weborto.net:8080/pipermail/ortho/attachments/20150305/3f8d0597/attachment-0006.jpg 
----------- следущая часть -----------
Вложение не в текстовом формате было извлечено…
Имя     : DSC00013.jpg
Тип     : image/jpeg
Размер  : 82060 байтов
Описание: отсутствует
Url     : http://weborto.net:8080/pipermail/ortho/attachments/20150305/3f8d0597/attachment-0007.jpg 
----------- следущая часть -----------
Вложение не в текстовом формате было извлечено…
Имя     : DSC00018.jpg
Тип     : image/jpeg
Размер  : 83769 байтов
Описание: отсутствует
Url     : http://weborto.net:8080/pipermail/ortho/attachments/20150305/3f8d0597/attachment-0008.jpg 
----------- следущая часть -----------
Вложение не в текстовом формате было извлечено…
Имя     : DSC00023.jpg
Тип     : image/jpeg
Размер  : 80026 байтов
Описание: отсутствует
Url     : http://weborto.net:8080/pipermail/ortho/attachments/20150305/3f8d0597/attachment-0009.jpg 


Подробная информация о списке рассылки Ortho