[Ortho] Перелом бедра

Андрей orthoforum на weborto.net
Пн Мар 9 13:29:17 YEKT 2015


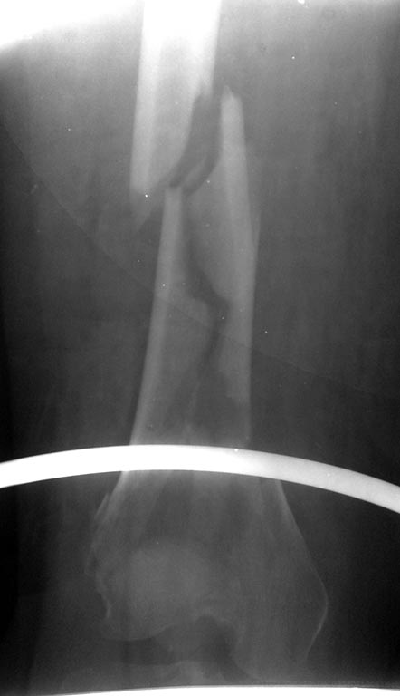
Планирую остеосинтез бедра пластиной. Есть ли у кого рекомендации по 
доступу на данный явно внутрисуставной перелом. Может сноски на 
видеоролики. Возможности КТ исследования нет.


Андрей


----------- следущая часть -----------
Вложение не в текстовом формате было извлечено…
Имя     : жПФП-0894.jpg
Тип     : image/jpeg
Размер  : 38144 байтов
Описание: отсутствует
Url     : http://weborto.net:8080/pipermail/ortho/attachments/20150309/48993097/attachment-0001.jpg 


Подробная информация о списке рассылки Ortho