[Ortho] Врожденный вывих бедра

Абдурашид orthoforum на weborto.net
Вт Мар 17 22:50:56 YEKT 2015


Уважаемые коллеги, прошу прошения, задержался,  у нас весна тепло, 
солнце и зелень, и природа тянет. Уважаемый Никита , конечно надо в 
начале изучить старые снимки( патогенез и динамика развития деформации), 
  досконально обследовать функцию т/б сустава, функциональные рентгены, 
  МСКТ , определить угол Виберга, СПГ, состояния передневерхнего  и 
задневерхнего  компонентов  вертлужной впадины, конгруэнтность, 
параметры шейки и головки бедра и т.д. ,и  определиться что может даст 
операция , обстоятельно объяснить  родителям и пациенту.
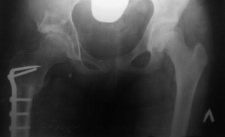
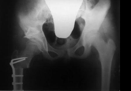
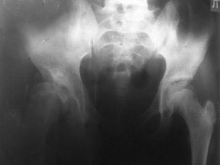
У нас реконструкция крыши делается по типу создание навеса (методика 
УзНИИТО) в зависимости от недоразвития части крыши, ну чаще 
передневерхней, сначала открываем сустав, ревизия, удаление 
внутрисуставных тел, проверка хрящевой  губы, определение размера 
недопокрытия головки,  дугообразная остеотомия крыши  по краю 
прикрепления капсулы сустава к кости, параллельно стенки вертлужной 
впадины до внутреннего кортикала , формируем крышу, после  устранение 
торсии, вальгуса шейки и определяется размер укорочения, взятый 
трансплантат внедряется в паз над крышей, примерно так.. То, что попало 
в руки сейчас, примеры операции у пациентки 13лет, и результат у 12 лет, 
до снимков не нашел, если найду еще отправлю.
С уважением Абдурашид.





----------- следущая часть -----------
Вложение не в текстовом формате было извлечено…
Имя     : IMG-20150316-WA0010 - ЛПРИ?С.jpg
Тип     : image/jpeg
Размер  : 25747 байтов
Описание: отсутствует
Url     : http://weborto.net:8080/pipermail/ortho/attachments/20150317/c95156d1/attachment-0004.jpg 
----------- следущая часть -----------
Вложение не в текстовом формате было извлечено…
Имя     : IMG-20150317-WA0000 - ЛПРИ?С.jpg
Тип     : image/jpeg
Размер  : 20681 байтов
Описание: отсутствует
Url     : http://weborto.net:8080/pipermail/ortho/attachments/20150317/c95156d1/attachment-0005.jpg 
----------- следущая часть -----------
Вложение не в текстовом формате было извлечено…
Имя     : IMG-20150317-WA0001 - ЛПРИ?С.jpg
Тип     : image/jpeg
Размер  : 28016 байтов
Описание: отсутствует
Url     : http://weborto.net:8080/pipermail/ortho/attachments/20150317/c95156d1/attachment-0006.jpg 
----------- следущая часть -----------
Вложение не в текстовом формате было извлечено…
Имя     : IMG-20150317-WA0002 - ЛПРИ?С.jpg
Тип     : image/jpeg
Размер  : 24521 байтов
Описание: отсутствует
Url     : http://weborto.net:8080/pipermail/ortho/attachments/20150317/c95156d1/attachment-0007.jpg 


Подробная информация о списке рассылки Ortho