[Ortho] Тактика оперативного лечения

Сергей orthoforum на weborto.net
Чт Мар 26 00:47:16 YEKT 2015


Уважаемые коллеги!

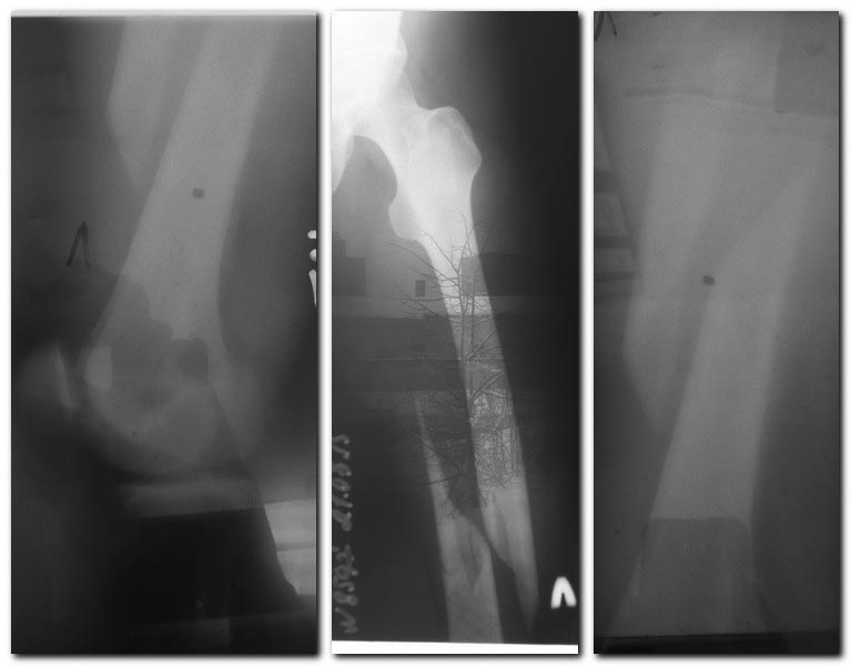
Пациентка, 57, лет, без отягощенной соматической патологии.Травма на 
прошедших выходных.
Перелом диафиза бедра косой, с раскалыванием по длине дистального 
отломка. На вытяжении.
Склоняюсь к открытой репозии пластиной LSP, т.к. думаю есть интерпозиция 
м.тканей и опасность расколоть дистальный фрагмент при заведении гвоздя. 
Есть мнение з.о. сделать ретроградный гвоздь с открытой репозицией и 
серкляжем. Не думаю, что это менее травматично.
Выскажите мнение о тактике оперативного лечения. Спасибо.
Сергей


----------- следущая часть -----------
Вложение не в текстовом формате было извлечено…
Имя     : 2015-03-26_015046.jpg
Тип     : image/jpeg
Размер  : 51043 байтов
Описание: отсутствует
Url     : http://weborto.net:8080/pipermail/ortho/attachments/20150325/dc32d304/attachment-0001.jpg 


Подробная информация о списке рассылки Ortho