[Ortho] Застарелый вывих головки луча и парез лучевого нерва у подростка.

владимир orthoforum на weborto.net
Сб Мар 28 07:38:25 YEKT 2015


Ригидности нет. Пассивные движения пальцев и кисти не ограничены. 
Пациент учится в школе,этой рукой хорошо пишет,пользуется 
ложкой,ребенок-хорошая адаптация.
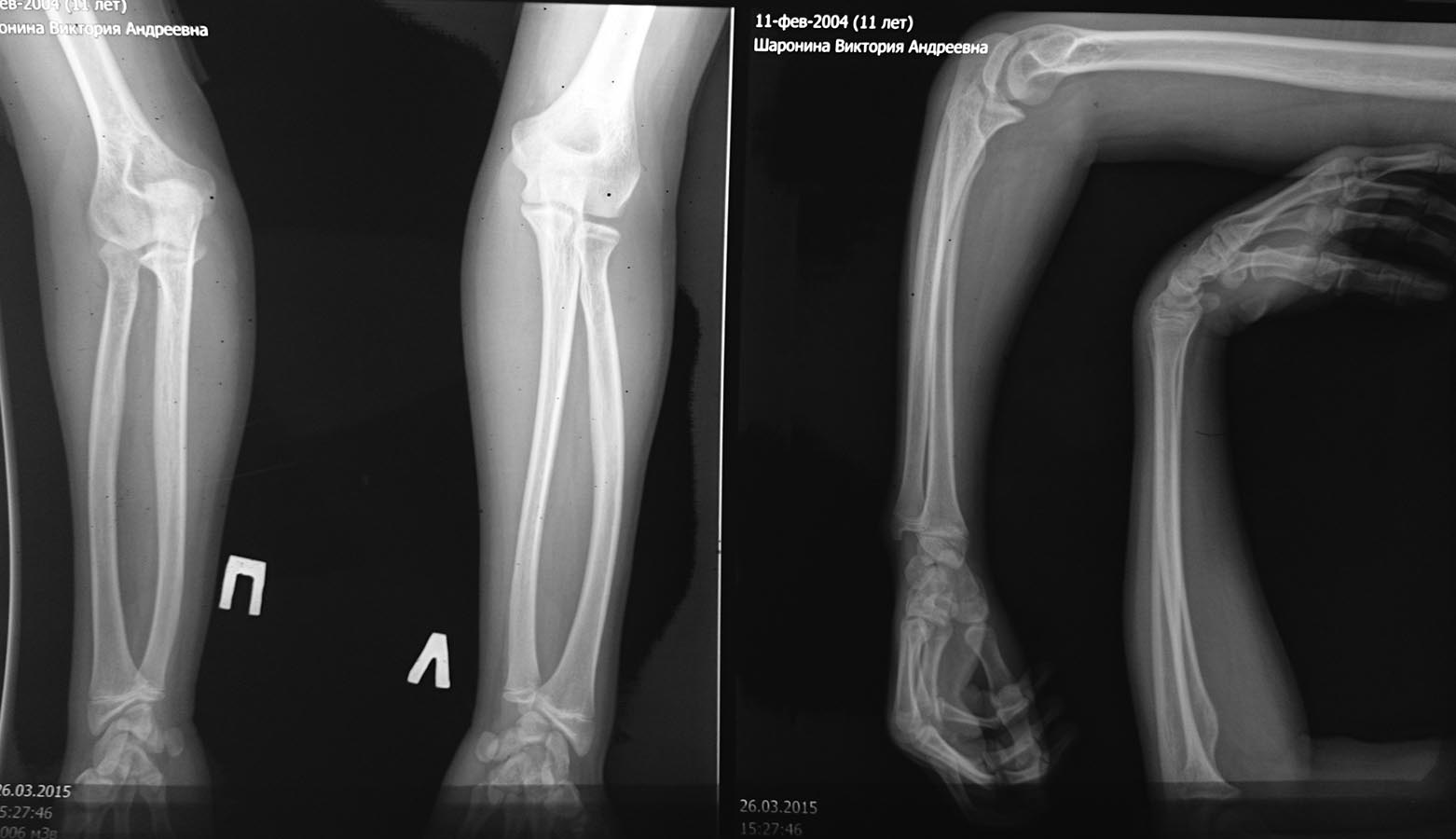
Для сравнения-рентген здоровой конечности
владимир

----------- следущая часть -----------
Вложение не в текстовом формате было извлечено…
Имя     : DSC_0171.JPG
Тип     : image/jpeg
Размер  : 87400 байтов
Описание: отсутствует
Url     : http://weborto.net:8080/pipermail/ortho/attachments/20150327/12f9ac50/attachment-0001.jpe 


Подробная информация о списке рассылки Ortho