[Ortho] Pipkin 4 Продолжение разговора

Гамиль Гарифуллов orthoforum на weborto.net
Вт Мар 31 00:52:38 YEKST 2015


Уважаемые коллеги добрый вечер!

Хотелось бы узнать ваше мнение о возможных ранних сроках наступления 
асептического некроза или коксартроза при данном виде оперативного 
лечения, может кто-то уже оперировал данную патологию и есть наблюдения. 
Случай практически
идентичный описанный в январе 2015 на ортофоруме Никитой Николаевичем 
Заднепровским.
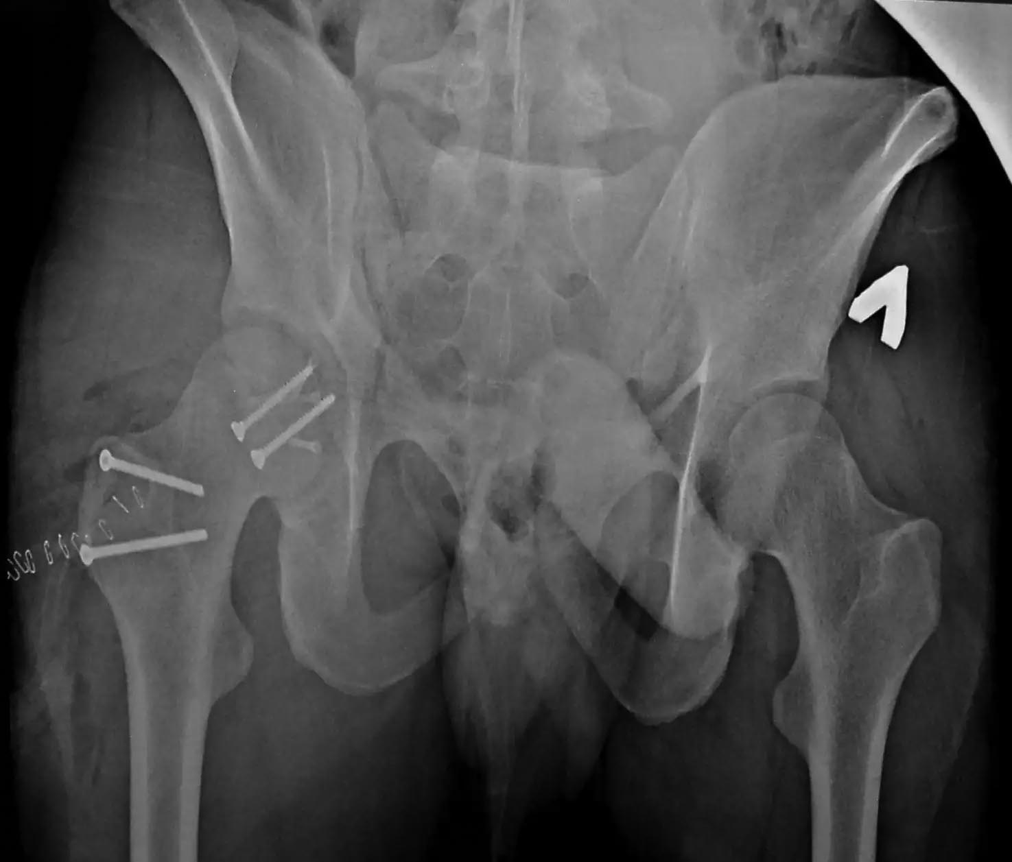
Молодой человек 20 лет ДТП 23.02.2015, Диагноз: Сочетанная травма. 
Закрытый переломо-вывих головки и перелом заднего края вертлужной 
впадины (Pipkin4) правой бедренной кости. Открытый подтаранный вывих 
правой стопы. При поступлении в ЦРБ вправление вывиха головки бедра и 
подтаранного вывиха стопы. Далее перевод к нам в Травмоцентр и
03.03.2015. через 8 дней операция, выполнен остеосинтез головки 3-мя
самокомпрессирующими винтами Autofix под разными углами с погружением в 
субхондральный слой. Доступ Kocher-Langenbeck с флип-остеотомией 
большого вертела и задним хирургическим вывихом головки бедра. В полости 
сустава два свободно-лежачих фрагмента хряща головки, которые были 
удалены. На снимках виден дефект хряща головки после репозиции.
Небольшой фрагмент заднего края фиксирован двумя спонгиозными винтами. 
Далее шов раны с дренированием. На 2 сутки пациент поворачивался на 
здоровый бок с валиком между ног, на 4 сутки сидел в кровати и на 6 
сутки ходил с помощью костылей. Вопрос о первичном эндопротезировании у 
нас не стоял, и при разговоре пациент морально не был готов к такому
повороту событий.

С уважением, Гамиль Гарифуллов Казань,
ГАУЗ РКБ МЗ РТ
Травматологический центр
отделение травматологии 1

----------- следущая часть -----------
Вложение не в текстовом формате было извлечено…
Имя     : 1.jpg
Тип     : image/jpeg
Размер  : 347964 байтов
Описание: отсутствует
Url     : http://weborto.net:8080/pipermail/ortho/attachments/20150330/93ec5932/attachment-0004.jpg 
----------- следущая часть -----------
Вложение не в текстовом формате было извлечено…
Имя     : 2.jpg
Тип     : image/jpeg
Размер  : 92141 байтов
Описание: отсутствует
Url     : http://weborto.net:8080/pipermail/ortho/attachments/20150330/93ec5932/attachment-0005.jpg 
----------- следущая часть -----------
Вложение не в текстовом формате было извлечено…
Имя     : 3.jpg
Тип     : image/jpeg
Размер  : 119722 байтов
Описание: отсутствует
Url     : http://weborto.net:8080/pipermail/ortho/attachments/20150330/93ec5932/attachment-0006.jpg 
----------- следущая часть -----------
Вложение не в текстовом формате было извлечено…
Имя     : 4.jpg
Тип     : image/jpeg
Размер  : 107777 байтов
Описание: отсутствует
Url     : http://weborto.net:8080/pipermail/ortho/attachments/20150330/93ec5932/attachment-0007.jpg 


Подробная информация о списке рассылки Ortho