[Ortho] Ложный сустав бедра - что делать?

Dr. Khalimov Gamzat orthoforum на weborto.net
Ср Май 20 02:19:05 YEKST 2015


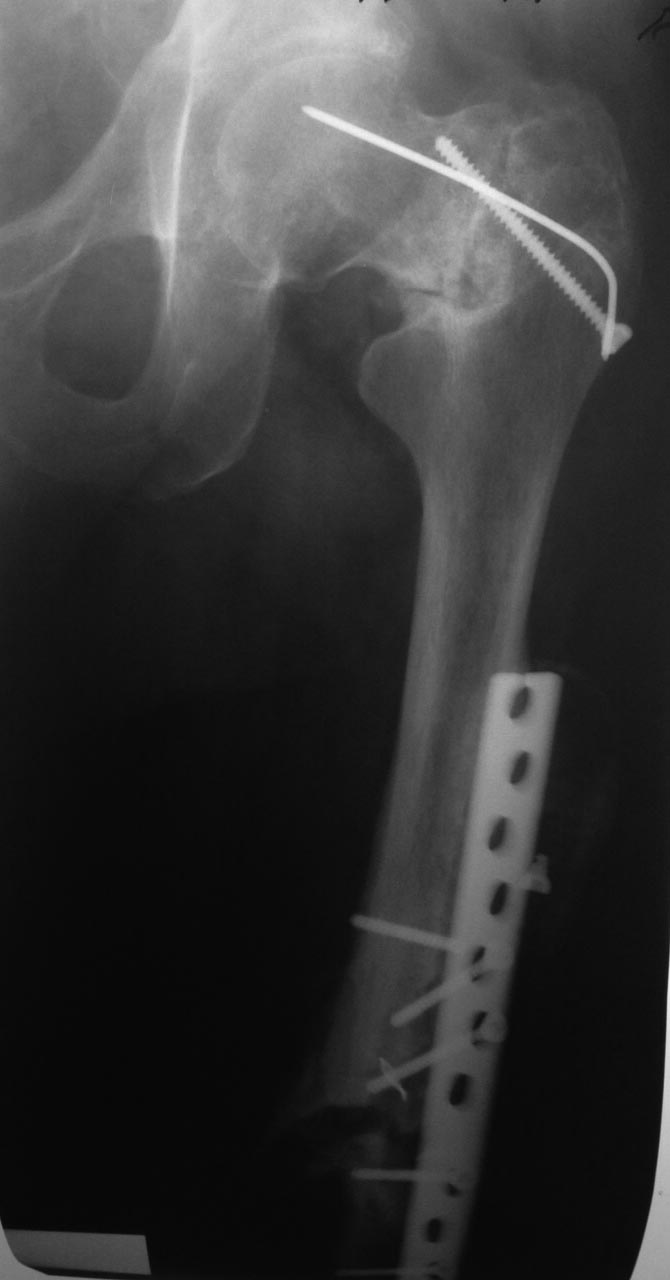
Уважаемые коллеги,помогите определиться с тактикой лечения.В отделение 
поступил пациент с Ложным суставом левой бедренной кости.Сращение в 
вертельной зоне также вызывает сомнение.

Пациент 1960 г.р.,оперирован в одной из клиник республики в 2012 году по 
поводу сегментарного перелома бедренной кости.В настоящее время имеется 
укорочение 3 см,патологическая подвижность и боли в области диафиза. 
Пациент передвигается при помощи костылей с незначительной нагрузкой.

Планируется выполнить :
1)Удаление металлоконструкции,резекцию ложного сустава,остеотомия в 
вертельной области,остеосинтез удлиненным стержнем PFN;
2) эндопротезирование тазобедренного сустава, резекция ложного сустава, 
ретроградный биос. Интересно узнать что бы вы сделали в
такой ситуации.
Dr. Khalimov Gamzat



----------- следущая часть -----------
Вложение не в текстовом формате было извлечено…
Имя     : image.jpg
Тип     : image/jpeg
Размер  : 55652 байтов
Описание: отсутствует
Url     : http://weborto.net:8080/pipermail/ortho/attachments/20150520/f8318532/attachment-0001.jpg 


Подробная информация о списке рассылки Ortho