[Ortho] Последствие огнестрельного перелома костей предплечья

Артем orthoforum на weborto.net
Ср Май 27 20:38:48 YEKST 2015


Предлагаю обсудить возможную тактику лечения пациента с деформацией 
костей предплечья.

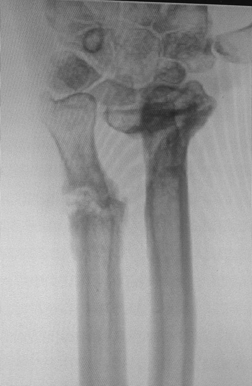
Пациент получил огнестрельное ранение левого предплечья с переломом 
обеих костей в нижней трети в августе 2014г. Первоначально лечился в 
аппарате Илизарова. Со слов пациента, в связи с развитием ИО в область 
проведения спиц аппарат демонтирован, продолжено лечение в повязке. В 
настоящее время в области левого предплечья множественные окрепшие
послеоперационные рубцы, отмечается деформация в виде выстояния головки 
локтевой кости, формирования гипертрофической костной мозоли лучевой 
кости. Рентгенограммы прилагаю.
Основная жалоба - ограничение супинации, которое мешает выполнять 
работу. Прошу помочь в выборе тактики лечения. Спасибо.
Артем


----------- следущая часть -----------
Вложение не в текстовом формате было извлечено…
Имя     : IMG_2816.JPG
Тип     : image/jpeg
Размер  : 91471 байтов
Описание: отсутствует
Url     : http://weborto.net:8080/pipermail/ortho/attachments/20150527/9a355925/attachment-0002.jpeg 
----------- следущая часть -----------
Вложение не в текстовом формате было извлечено…
Имя     : IMG_2817.JPG
Тип     : image/jpeg
Размер  : 59310 байтов
Описание: отсутствует
Url     : http://weborto.net:8080/pipermail/ortho/attachments/20150527/9a355925/attachment-0003.jpeg 


Подробная информация о списке рассылки Ortho