[Ortho] Объём операции у ребёнка 7 лет

Сергей Тарасов orthoforum на weborto.net
Вт Ноя 10 12:01:28 YEKT 2015


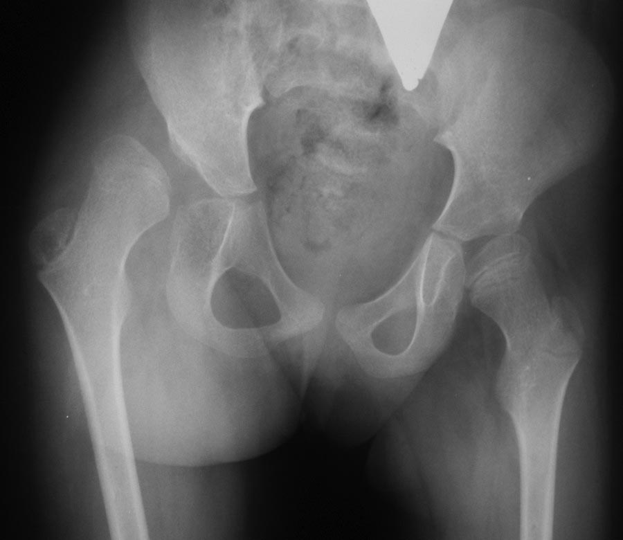
Девочка 7 лет, страдает ДЦП. Самостоятельно не ходит, практически не 
стоит (стоит с поддержкой не более 1 минуты). Выраженная приводящая 
контрактура.

Вопрос возник с объёмом планируемого оперативного лечения - 
аддуктотомия+КОБ, либо всё-таки аддуктотомия+КОБ+Солтер? С одной 
стороны, вряд ли получится достигнуть достаточно хорошего покрытия 
головки без остеотомии таза. С другой стороны, учитывая длительную 
гипсовую иммобилизацию после полного объёма операции, и текущий
неврологический статус, не хотелось бы, чтобы ребёнок потерял даже 
имеющиеся моторные навыки. Не хотелось бы лечить рентгенограмму.
Сергей Тарасов


----------- следущая часть -----------
Вложение не в текстовом формате было извлечено…
Имя     : ччв 002.jpg
Тип     : image/jpeg
Размер  : 59061 байтов
Описание: отсутствует
Url     : http://weborto.net:8080/pipermail/ortho/attachments/20151110/5e617371/attachment-0001.jpg 


Подробная информация о списке рассылки Ortho