[Ortho] рефрактура проксимальных отделов бедра

Илья Столяров orthoforum на weborto.net
Ср Ноя 25 08:22:09 YEKT 2015


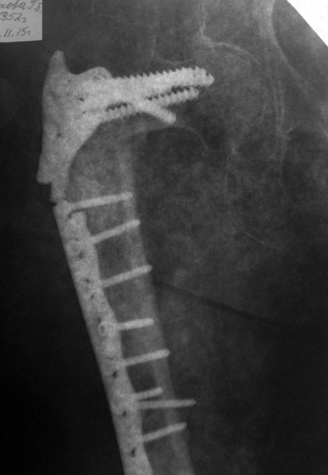
Здравствуйте, уважаемые коллеги! Прошу Ваших мнений по следующему 
случаю.Женщина 63г.
Травма в январе 2013г, тогда же оперирована по поводу чрезвертельного 
перелома бедра DHS (снимки отсутствуют). Зимой 2014-2015 без повторной 
травмы - перелом металлоконструкции и предположительно, повторный 
перелом бедра, повторная операция, с помощью металлоконструкции видимой 
на снимках (снимки послеоперационные отсутствуют).

3 недели тому - при сгибании бедра (стригла ногти) почувствовала хруст, 
выраженный болевой синдром, потеря опороспособности, рентгенологическая 
картина представлена.

Сопутствующая патология: ревматоидный артрит с поражением суставов стоп,
кистей. Принимает постоянно в течение нескольких лет метатрексат и 
преднизолон. Анемия Hb-около 90 г/л.

Планируемое лечение: 1.) отмена или снижение дозировок метатрексат,
преднизолон. 2.) коррекция анемии 3.) Оперативное лечениес удалением 
металлоконструкции и с использованием 3.1 )конструкции типа PFNA 
максимально возможной длины. 3.2) Предложен еще вариант 
эндопротезирования с длинным бедренным компонентом. Буду благодарен за
участие в судьбе моей родственницы. Извините за качество снимков.
Илья Столяров
БСМП г. Дзержинск

----------- следущая часть -----------
Вложение не в текстовом формате было извлечено…
Имя     : Gala.jpg
Тип     : image/jpeg
Размер  : 236056 байтов
Описание: отсутствует
Url     : http://weborto.net:8080/pipermail/ortho/attachments/20151125/346b5c20/attachment-0001.jpg 


Подробная информация о списке рассылки Ortho