[Ortho] Остеосинтез ключицы.

Андрей П orthoforum на weborto.net
Пт Ноя 27 22:36:58 YEKT 2015


Здравствуйте уважаемые коллеги!Прошу Ваших мнений по поводу 
представленного случая остеосинтеза ключицы.

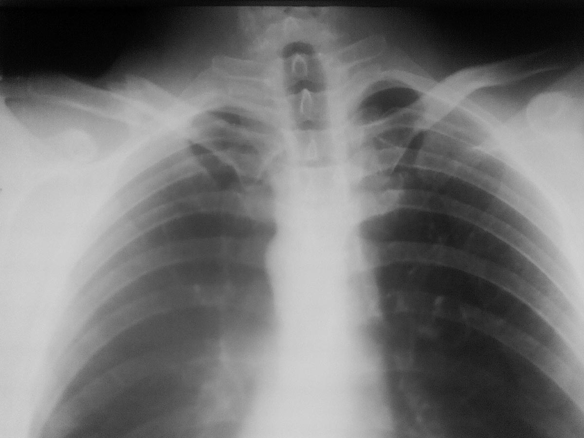
Мужчина, 35 лет, 23.11.15 получил закрытый оскольчатый перелом левой 
ключицы в результате падения на руку с высоты роста. 26.11.15 выполнена 
операция: Открытая репозиция, интрамедуллярный остеосинтез штифтом 
Богданова, промежуточные осколки фиксированы на место лавсановыми 
нитями. Остеосинтез выполнил по классической методике: через доступ
длинной 5 см экономно скелетировал отломки, рассверлил сверлом 3.2 мм 
каналы в дистальном и проксимальном отломках, подобрал соответствующего 
диаметра стержень Богданова, который антеградно ввбил в репонированные 
отломки,промежуточные осколки фиксировал лигатурами к месту перелома. 
Смущает одно, что изначально стержень не изгибал под S-образную кривизну
ключицы, а на R-графии после остеосинтеза стержень деформировался под 
изгиб ключицы.
Изначально планировал стержень расположить "широкой" частью фронтально, 
но не вышло.
Прошу Ваших комментариев.
Андрей П
ГБУЗ СО "Бисертская ГБ"



----------- следущая часть -----------
Вложение не в текстовом формате было извлечено…
Имя     : IMG00014.jpg
Тип     : image/jpeg
Размер  : 96697 байтов
Описание: отсутствует
Url     : http://weborto.net:8080/pipermail/ortho/attachments/20151127/40531de0/attachment-0003.jpg 
----------- следущая часть -----------
Вложение не в текстовом формате было извлечено…
Имя     : IMG00015.jpg
Тип     : image/jpeg
Размер  : 92322 байтов
Описание: отсутствует
Url     : http://weborto.net:8080/pipermail/ortho/attachments/20151127/40531de0/attachment-0004.jpg 
----------- следущая часть -----------
Вложение не в текстовом формате было извлечено…
Имя     : IMG00016.jpg
Тип     : image/jpeg
Размер  : 86669 байтов
Описание: отсутствует
Url     : http://weborto.net:8080/pipermail/ortho/attachments/20151127/40531de0/attachment-0005.jpg 


Подробная информация о списке рассылки Ortho