[Ortho] сохраняется подвывих?

К.С.А. orthoforum на weborto.net
Вс Окт 4 12:54:55 YEKST 2015


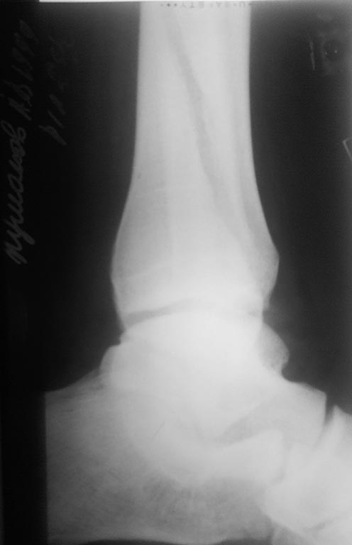
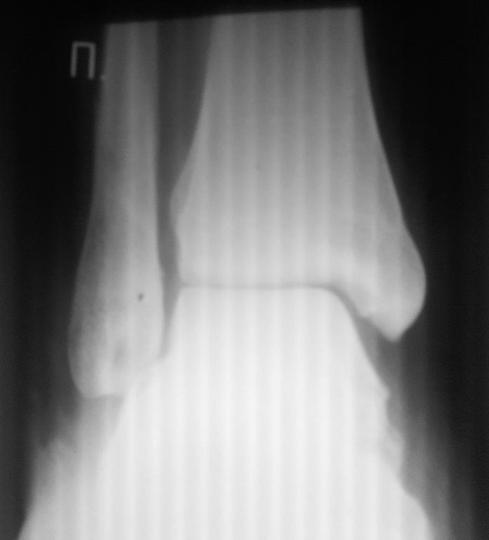
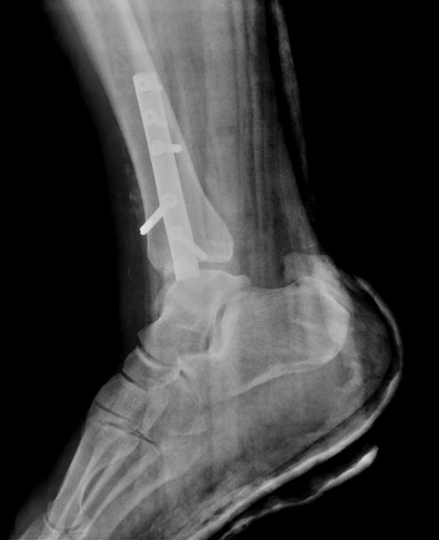
длиннее пластины нет (скоро никаких не будет), ехать в другие учреждения 
пациент отказался. после операции прошло 3 дня, от момента травмы - 
неделя. пациент ходит в гипсе без нагрузки на ногу. интересует, что 
делать сейчас.
К.С.А.

----------- следущая часть -----------
Вложение не в текстовом формате было извлечено…
Имя     : 1ДП ПРЕТБГИ?И?1.jpg
Тип     : image/jpeg
Размер  : 39572 байтов
Описание: отсутствует
Url     : http://weborto.net:8080/pipermail/ortho/attachments/20151004/c3614887/attachment-0003.jpg 
----------- следущая часть -----------
Вложение не в текстовом формате было извлечено…
Имя     : 2 ДП ПРЕТБГИ?И?2.jpg
Тип     : image/jpeg
Размер  : 39413 байтов
Описание: отсутствует
Url     : http://weborto.net:8080/pipermail/ortho/attachments/20151004/c3614887/attachment-0004.jpg 
----------- следущая часть -----------
Вложение не в текстовом формате было извлечено…
Имя     : 4 РПУМЕ ПРЕТБГИ?И?2.jpg
Тип     : image/jpeg
Размер  : 52213 байтов
Описание: отсутствует
Url     : http://weborto.net:8080/pipermail/ortho/attachments/20151004/c3614887/attachment-0005.jpg 


Подробная информация о списке рассылки Ortho