[Ortho] Несращение бедра-выбор метода

Илья orthoforum на weborto.net
Вс Окт 4 12:55:12 YEKST 2015


Несращение бедра-выбор метода

Здравствуйте уважаемые коллеги, прошу поделиться опытом лечения подобных 
пациентов.
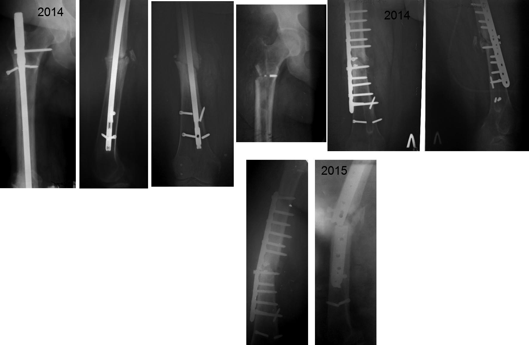
Пациентка К.40 лет ,вес- 130кг, рост 170 см, курит, С.Д. 2 
тип-компенсированный. Травма в рез. ДТП 2008 г.- БИОС.

Август 2014 г.-удаление стержня (судя по снимку с немалыми
трудностями),костная аутопластика, МОС пластиной заживление первичное.
Поступила 29 09 2015 с несращением перелома и переломом фиксатора. 
СОЭ-16, Лейк-11.0.

Предварительный план обследования и лечения:

1.Исключить(подтвердить) наличие инфекции. Какой алгоритм,
в сомнительных случаях, используете Вы?

2.Фиксация перелома длинной Gamma или PFNа с (или
без) антибактериальной мантией (склоняемся к данному методу, однако 
настораживает потенциальный риск инфекции).

3.Аппаратный метод лечения (со своими достоинствами и
недостатками).
Благодарю за помощь в принятии решения .

С Уважением, Накоренок Илья.


----------- следущая часть -----------
Вложение не в текстовом формате было извлечено…
Имя     : 1.jpg
Тип     : image/jpeg
Размер  : 84330 байтов
Описание: отсутствует
Url     : http://weborto.net:8080/pipermail/ortho/attachments/20151004/9341c296/attachment-0001.jpg 


Подробная информация о списке рассылки Ortho