[Ortho] Hallux valgus+грибковое поражение 2 пальца

Виктор orthoforum на weborto.net
Вт Окт 6 01:31:00 YEKST 2015


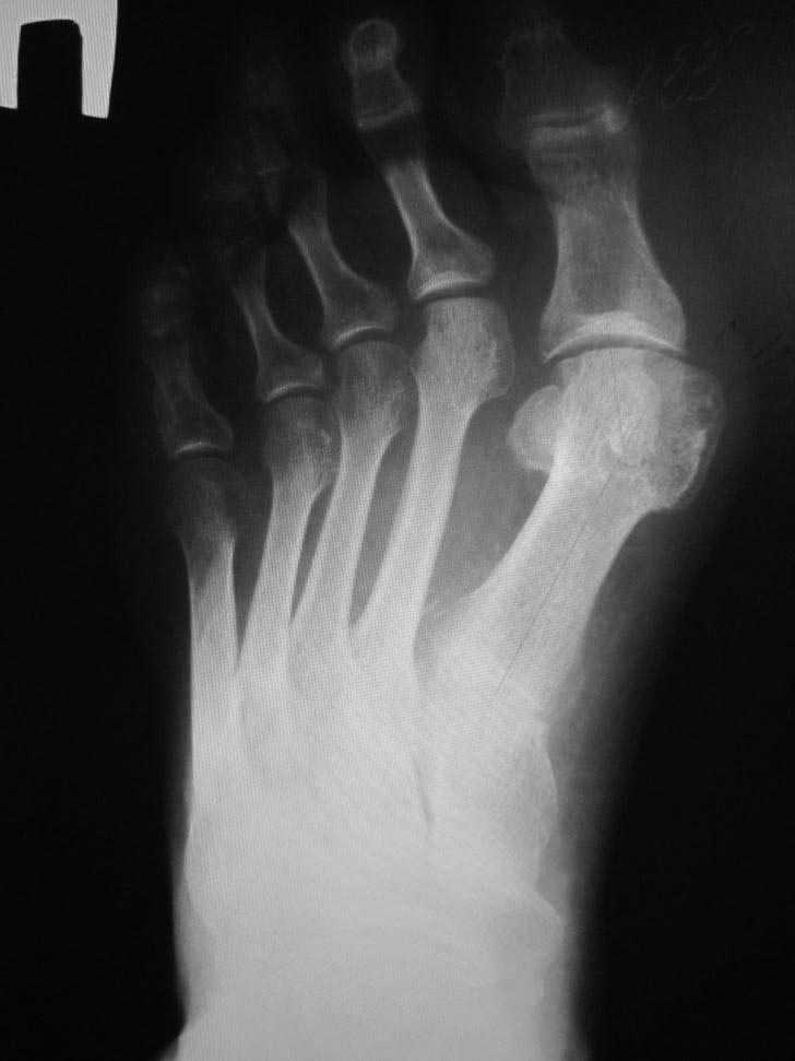
Hallux valgus+грибковое поражение 2 пальца

Больной 67 лет обратился с просьбой удалить 2 палец, так как уже целый 
год испытывает сильные боли в области 2 пальца при ходьбе. Лечение у 
дерматолога оказалось не эффективным.
Вальгусная деформация 1 пальца стопы беспокоит тоже пациента, но в 
гораздо меньшей степени.
Уважаемые коллеги - подскажите наиболее разумную тактику лечения.
Виктор


----------- следущая часть -----------
Вложение не в текстовом формате было извлечено…
Имя     : image (1).jpg
Тип     : image/jpeg
Размер  : 52668 байтов
Описание: отсутствует
Url     : http://weborto.net:8080/pipermail/ortho/attachments/20151006/2ba54b82/attachment-0003.jpg 
----------- следущая часть -----------
Вложение не в текстовом формате было извлечено…
Имя     : image_971x1295.jpg
Тип     : image/jpeg
Размер  : 106164 байтов
Описание: отсутствует
Url     : http://weborto.net:8080/pipermail/ortho/attachments/20151006/2ba54b82/attachment-0004.jpg 
----------- следущая часть -----------
Вложение не в текстовом формате было извлечено…
Имя     : IMG_1110_971x728.jpg
Тип     : image/jpeg
Размер  : 53712 байтов
Описание: отсутствует
Url     : http://weborto.net:8080/pipermail/ortho/attachments/20151006/2ba54b82/attachment-0005.jpg 


Подробная информация о списке рассылки Ortho