[Ortho] Несращение бедра-выбор метода

Илья orthoforum на weborto.net
Чт Окт 8 18:55:53 YEKST 2015


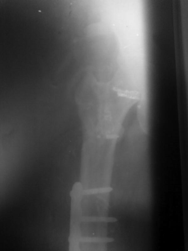
Вариант реконструктивного стержня с латеральной точкой введения также 
рассматривается.
Так выглядит проксимальный отдел бедра на данный момент.
Илья


----------- следущая часть -----------
Вложение не в текстовом формате было извлечено…
Имя     : IMG_20151008_094558.jpg
Тип     : image/jpeg
Размер  : 32764 байтов
Описание: отсутствует
Url     : http://weborto.net:8080/pipermail/ortho/attachments/20151008/7e4d37a7/attachment-0001.jpg 


Подробная информация о списке рассылки Ortho