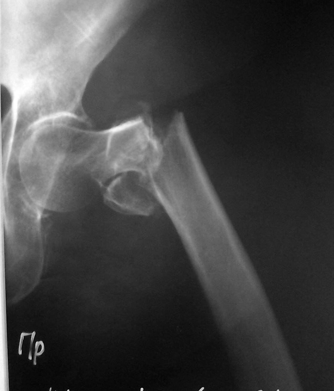
[Ortho] Чрезвертельный перелом

Роман храмцов orthoforum на weborto.net
Сб Окт 10 09:13:31 YEKST 2015


Больная 77 лет чрезаертельный перелом, коллегам просьба помочь в выборе 
метода лечения


Роман храмцов

----------- следущая часть -----------
Вложение не в текстовом формате было извлечено…
Имя     : IMG_20151005_103550.jpg
Тип     : image/jpeg
Размер  : 80617 байтов
Описание: отсутствует
Url     : http://weborto.net:8080/pipermail/ortho/attachments/20151010/9c899497/attachment-0001.jpg 


Подробная информация о списке рассылки Ortho