[Ortho] Ревизионное эндопротезирование коленного сустава. Возможности проведения 2-го этапа?

Булат Зиатдинов orthoforum на weborto.net
Вс Окт 18 20:57:34 YEKST 2015


Приветствую, коллеги! Хочется услышать ваше мнение по поводу тактики 
лечения. Из анамнеза: 2008 год - первичное ЭП коленного сустава, 2011 
год - падение и перипротезный перелом, установка пластины, 2014 год - 
нестабильность пластины и винтов - установка интрамедуллярного штифта, 
образование тугого ложного сустава. С февраля 2015 года свищевая
форма перипротезной инфекции, начали лечить в районе, не помогло. Все 
это происходило в других клиниках, поэтому информация общая.

Посев первичный Staphylococcus aureus. Из
сопутствующего - сахарный диабет (сахара терпимые), ревматоидный артрит 
(у ревматолога наблюдается не часто).

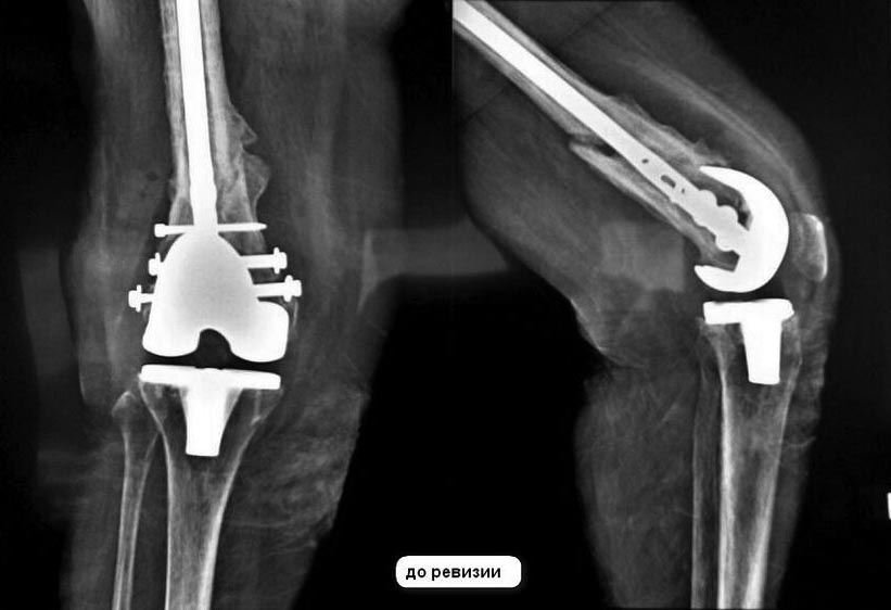
В июле 2015 - 1-ый этап ревизионного эндопротезирования. Удалены
компоненты эндопротеза и штифт, установлен цементный спейсер с 
ванкомицином. В связи с дефицитом костной ткани и слабостью связочного 
аппарата назначен тутор.

На сегодняшний день: область коленного сустава без признаков воспаления, 
свищей нет, кровь не воспалительная. Будем трехкратно пунктировать с 
посевом на микрофлору. Вопрос в том, что если посевы придут чистые, то 
какова тактика ревизионного эндопротезирования и чем, при наличии 
ложного сустава? В приложении снимки по хронологии.


Булат Зиатдинов


----------- следущая часть -----------
Вложение не в текстовом формате было извлечено…
Имя     : IMG-20150703-WA0004.jpg
Тип     : image/jpeg
Размер  : 63360 байтов
Описание: отсутствует
Url     : http://weborto.net:8080/pipermail/ortho/attachments/20151018/7430bffe/attachment-0001.jpg 


Подробная информация о списке рассылки Ortho