[Ortho] Реостеосинтез

Виталий orthoforum на weborto.net
Вт Окт 20 00:16:00 YEKST 2015


Уважаемые коллеги, хотелось бы услышать вашего мнения по поводу 
непростого случая несросшегося перелома плечевой кости.	
					
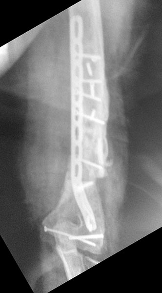
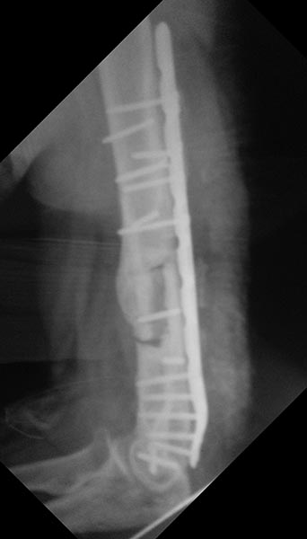
Пациент 44года в 2013г закрытый многооскольчатый перелом дистального 
отдела правой плечевой кости. Остеосинтез пластинами в одной из 
столичных клиник. В п/о периоде нейропатия лучевого и локтевого нервов, 
за 10 месяцев лучевой полностью восстановился, локтевой почти - 
небольшие парастезии в мизинце остались.
Обратился ко мне летом 2015г (по совету общего знакомого), до этого 
обращался в учереждение где был выполнен остеосинтез, но в силу ряда 
причин не пожелал там оперироваться (кстати предлагалось только удаление 
металлофиксаторов).
Пациент без вредных привычек (разве что переедание), из сопутствующей 
патологии ожирение (вес 160 кг рост 190см), сахарный диабет (невысокие 
цифры).В августе 2015г удаление металлофиксаторов, невролиз лучевого 
нерва, реостеосинтез (той же) пластиной, но в положеном 
задне-латеральном положении.
При операции удалено около 50 куб. металлоза, при ревизии в месте 
несращения были подозрительные творожистые включения, но кость выглядела 
здоровой,все многократно промывал антисептиками, иссечены рубцы, края 
отломков адаптированы друг к другу по типу замка - зона контакта 
большая, суммарно кость укорочена около 1,5 см.
Перед операцией планировал ставить 2 пластину медиально, но до операции 
консультировался с более опытными коллегами и ставить вторую пластину не 
рекомендовали, все же заказал, но не поставил... операция заняла в целом 
7,5 часов то ли устал, то ли действительно фиксация показалась 
достаточной учитывая характер сопоставления отломков (ну не суть важно 
что сделано то сделано). Был установлен дренаж, но наследующий день он 
забился - удалил, опасаясь инфицирования довольно агрессивно промывал 
хлоргексидином, на 5 сутки на коже нижней трети плеча по наружной 
поверхности появился пузырь 10 на 10 см, промывать перестал. Рана зажила 
первичным натяжением. Дефект кожи после фликтены постепенно заживает (от 
пересадки кожи пациент отказался).
После операции нейропатия лучевого нерва (целостность сомнению не 
подвергается был выделен весь) за 2 месяца значительная положительная 
динамика.
Иммобилизирован на косынке.
В сентябре ниже локтевого отростка появилась небольная безболезненная 
припухлость по ходу рубца, была вскрыта и получен гной (со слов коллеги 
я был в отпуске), через 4 дня я видел рану гноя не было отделяемое 
серозное больше похоже на синовиальную жидкость (предполагаю что идет от 
локтевого отростка к которому было пришито сухожилие трицепса тисорбом 
они часто текут по личныим наблюдениям, но не факт...), неоднократно 
посев роста нет, кровь спокойная, температуре нет соответственно. 2 
месяца после операции (22.09.15г) КТ контроль - все стабильно. Две 
недели назад разрешил иногда снимать косынку но рукой не пользоваться. 
Неделю назад пациент стал говорить что появился хрукт. Рентген контроль 
- перелом 2х винтов нестабильность вторичное смещение.
Предварительно планирую брать на ревизию удалить винты с проксимального 
отдела, репозиция остеосинтез и дополнительно медиальная 
реконструктивная? пластина.

Вопросы: 1 брать сейчас или ждать закрытия дефекта кожи?
2 Ставить ли промывную систему? Не увеличится ли риск инфицирования, 
если 3 раз та же пластина?
Виталий


----------- следущая часть -----------
Вложение не в текстовом формате было извлечено…
Имя     : ct.jpg
Тип     : image/jpeg
Размер  : 545302 байтов
Описание: отсутствует
Url     : http://weborto.net:8080/pipermail/ortho/attachments/20151019/bc650116/attachment-0006.jpg 
----------- следущая часть -----------
Вложение не в текстовом формате было извлечено…
Имя     : IMG_20151018_202748.jpg
Тип     : image/jpeg
Размер  : 33547 байтов
Описание: отсутствует
Url     : http://weborto.net:8080/pipermail/ortho/attachments/20151019/bc650116/attachment-0007.jpg 
----------- следущая часть -----------
Вложение не в текстовом формате было извлечено…
Имя     : IMG_20151018_202827.jpg
Тип     : image/jpeg
Размер  : 33828 байтов
Описание: отсутствует
Url     : http://weborto.net:8080/pipermail/ortho/attachments/20151019/bc650116/attachment-0008.jpg 
----------- следущая часть -----------
Вложение не в текстовом формате было извлечено…
Имя     : IMG_20151019_163719.jpg
Тип     : image/jpeg
Размер  : 49454 байтов
Описание: отсутствует
Url     : http://weborto.net:8080/pipermail/ortho/attachments/20151019/bc650116/attachment-0009.jpg 
----------- следущая часть -----------
Вложение не в текстовом формате было извлечено…
Имя     : IMG_20151019_164138.jpg
Тип     : image/jpeg
Размер  : 56702 байтов
Описание: отсутствует
Url     : http://weborto.net:8080/pipermail/ortho/attachments/20151019/bc650116/attachment-0010.jpg 
----------- следущая часть -----------
Вложение не в текстовом формате было извлечено…
Имя     : IMG_20151019_164152.jpg
Тип     : image/jpeg
Размер  : 51110 байтов
Описание: отсутствует
Url     : http://weborto.net:8080/pipermail/ortho/attachments/20151019/bc650116/attachment-0011.jpg 


Подробная информация о списке рассылки Ortho