[Ortho] Чрезвертельный неправильно консолидирующийся перелом

Тимур orthoforum на weborto.net
Вт Окт 27 01:49:01 YEKT 2015


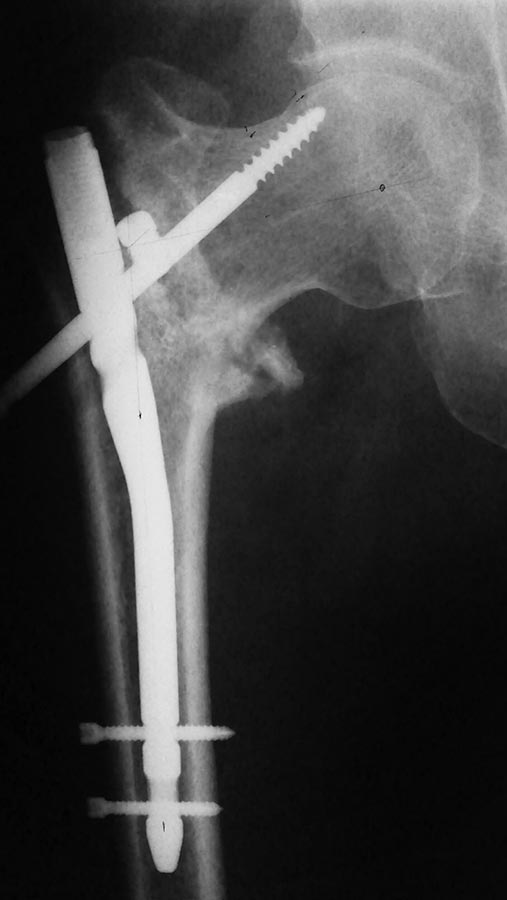
Доброго времени суток! Анамнез без особенностей- мужчина 45-49 лет, не 
алкаш, рработяга. В п\о периоде как уже писал миграция шеечного винта, 
удаление его. Сначала вроде начал ходить с опорой, потом усилился б\с, 
ходит с костылём. Вторая проекция.
Тимур

----------- следущая часть -----------
Вложение не в текстовом формате было извлечено…
Имя     : IMG_20151025_040612.jpg
Тип     : image/jpeg
Размер  : 45654 байтов
Описание: отсутствует
Url     : http://weborto.net:8080/pipermail/ortho/attachments/20151027/46cc54c7/attachment-0001.jpg 


Подробная информация о списке рассылки Ortho