[Ortho] Опять лодыжки

Сергей orthoforum на weborto.net
Пт Окт 30 22:07:16 YEKT 2015


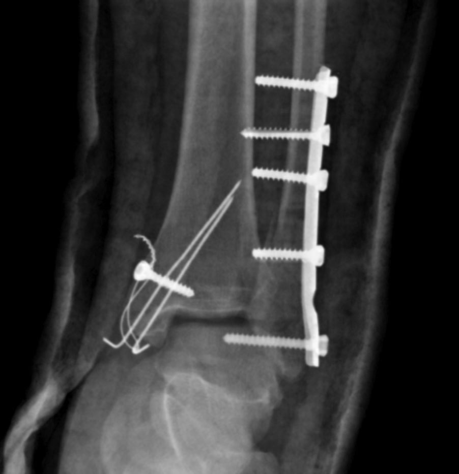
Здравствуйте. Операция 2 дня назад по дежурству, объем движений в 
голеностопном суставе в полном объеме. Пациенту 35 лет. Ограничиться 
заменой длинных винтов либо делать реостеосинтез малоберцовой кости?
Сергей



----------- следущая часть -----------
Вложение не в текстовом формате было извлечено…
Имя     : 4РПУМЕ ПРЕТБГИ?И? 1.jpg
Тип     : image/jpeg
Размер  : 59558 байтов
Описание: отсутствует
Url     : http://weborto.net:8080/pipermail/ortho/attachments/20151030/3cbeb515/attachment-0002.jpg 
----------- следущая часть -----------
Вложение не в текстовом формате было извлечено…
Имя     : 5РПУМЕ ПРЕТБГИ?И? 2.jpg
Тип     : image/jpeg
Размер  : 87059 байтов
Описание: отсутствует
Url     : http://weborto.net:8080/pipermail/ortho/attachments/20151030/3cbeb515/attachment-0003.jpg 


Подробная информация о списке рассылки Ortho