[Ortho] Застарелое повреждение коленного сустава.

Сергей Дукер orthoforum на weborto.net
Чт Сен 10 11:06:10 YEKST 2015


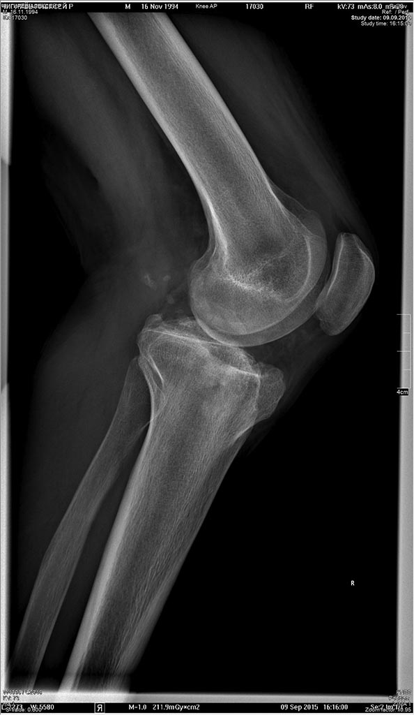
Пациент 21 г.
посттравматический гонартроз. Застарелое повреждение наружной боковой и 
задней крестообразной связок. Посттравматическая нейропатия 
малоберцового нерва.

Травма 3 года назад.
Вывих костей голени.
Лечение консервативное. Два года назад ревизия малоберцового нерва-без 
эфекта.
На момент осмотра: Жалобы на нестабильность в коленном суставе. Объем 
движений в коленном суставе полный. Нестабильность наружно-задняя.
Р-гр в приложении.
Планируется первым этапом корригирующая остеотомия внутреннего 
мыщелкабольшеберцовой кости  и восстановление наружной боковой 
связки.При необходимости вторым этапом пластика ЗКС.
Кто что посоветует?
Сергей Дукер

----------- следущая часть -----------
Вложение не в текстовом формате было извлечено…
Имя     : юи?зи?т?ч бмелуек- т - 16-11-1994- DX ПФ 09-09-2015 S1 I0.JPG
Тип     : image/jpeg
Размер  : 80515 байтов
Описание: отсутствует
Url     : http://weborto.net:8080/pipermail/ortho/attachments/20150910/6e866d02/attachment-0001.jpeg 


Подробная информация о списке рассылки Ortho